審美治療

ホワイトニング

オフィスホワイトニング(ビヨンドシステム)

オフィスホワイトニング(ビヨンドシステム)

ホワイトニングができるかどうか検査します。
同時に歯の色の診断も行い、写真を撮ります。
歯をしっかり磨き、歯の表面の汚れをとります。
歯の周辺を保護します。
ホワイトニング材を歯の表面にぬり、合計30~45分間、専用のライトで照らします。(個人差により照射時間が変わることがあります。)
最後に再度、歯の表面を磨きます。

ホームホワイトニング

ホワイトニングができるかどうか検査します。
同時に歯の色の診断も行い、写真を撮ります。
専用のマウスピースを作ります。
専用のホワイトニング材をマウスピースに入れ、自宅で毎日決められた時間装着します。
効果の持続が一番長く、ホワイトニング効果も高いので上記両者の併用をおすすめします。

オフィスホワイトニング症例

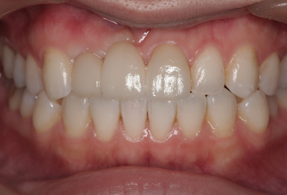
①ビヨンドホワイトニング術前

①ビヨンドホワイトニング術前

②施術中

②施術中

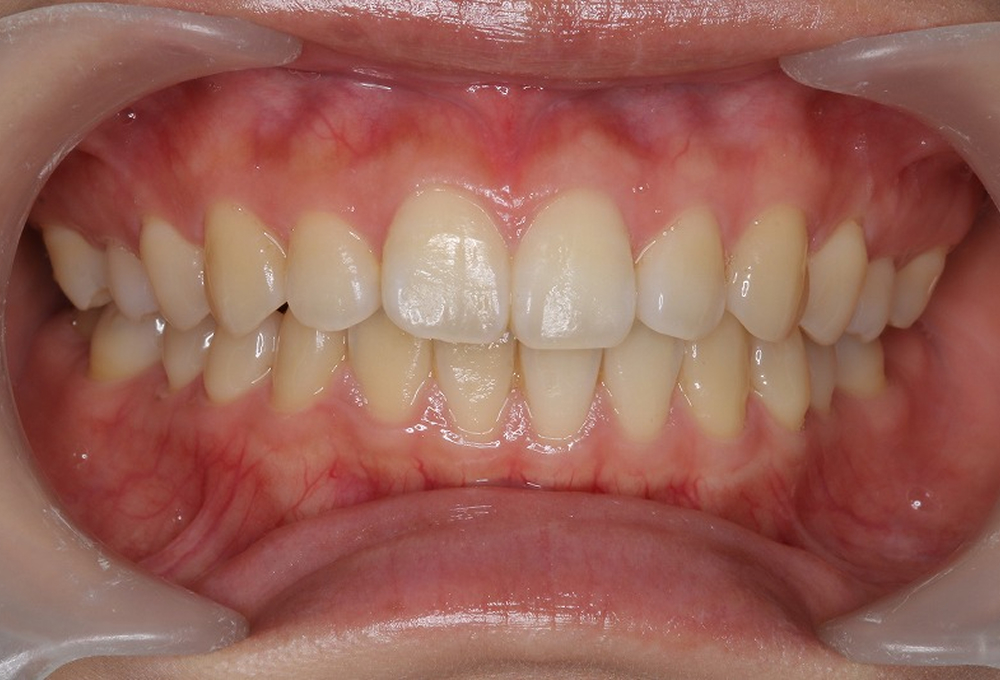
③ビヨンドホワイトニング術後

③ビヨンドホワイトニング術後

ホームホワイトニング症例

①ホームホワイトニング術前

①ホームホワイトニング術前

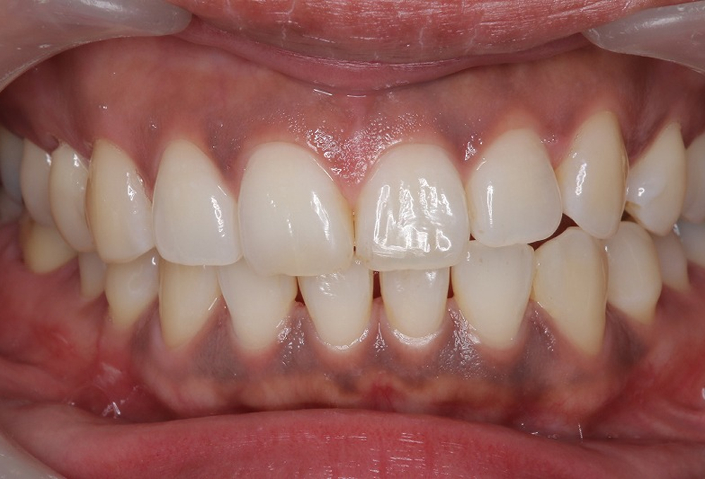
②ホームホワイトニング術後

②ホームホワイトニング術後

ウォーキングブリーチテクニック症例 変色歯への処置

①ウォーキングブリーチ術前

①ウォーキングブリーチ術前

②ウォーキングブリーチ術後

②ウォーキングブリーチ術後

メラニン色素沈着による歯茎の黒ずみ

①歯肉のメラニン沈着術前 スモーカーは要注意です

①歯肉のメラニン沈着術前 スモーカーは要注意です

②施術後 ピンク色の健康的な歯肉に回復

②施術後 ピンク色の健康的な歯肉に回復

PMTC(Professional Mechanical Tooth Cleaning)

PMTCとは

専門の機器を用いて、徹底的に歯をキレイにすること(バイオフィルムは機械的にしか除去できない) 歯の着色汚れを落とし、歯の表面をツルツルにすることで見た目を白くし、汚れがつきにくくなります。
毎日すみずみまで磨いているつもりでも、どうしても歯ブラシの届きにくい所、汚れがたまりやすい所ができてしまいます。
この部分のお掃除を徹底的に行うのがPMTCです。

①PMTC術前

①PMTC術前

②PMTC術後

②PMTC術後

オールセラミック症例①

①術前

①術前

②オールセラミック作製

②オールセラミック作製

③装着前の支台歯

③装着前の支台歯

④装着前

④装着前

⑤術後

⑤術後

オールセラミック症例②

①術前

①術前

②クラウン除去後

②クラウン除去後

③仮歯装着

③仮歯装着

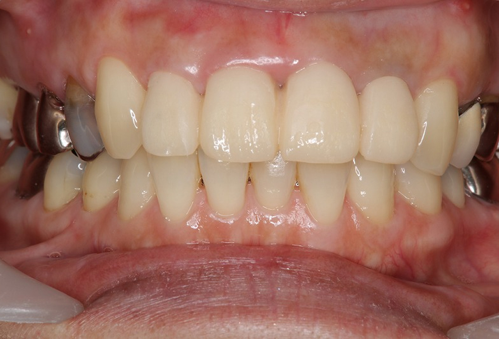
④術後4前歯オールセラミック

④術後4前歯オールセラミック

オールセラミック症例③

①術前

①術前

②オールセラミック作製

②オールセラミック作製

③オールセラミック作製

③オールセラミック作製

④術後オールセラミック装着

④術後オールセラミック装着

オールセラミックブリッジ症例

①術前

①術前

②オールセラミックブリッジ装着前

②オールセラミックブリッジ装着前

③術後オールセラミックブリッジ装着

③術後オールセラミックブリッジ装着

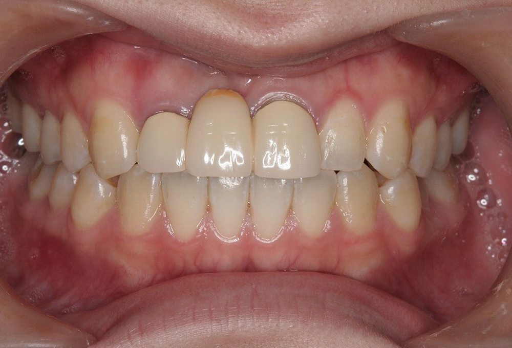
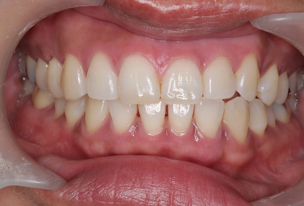
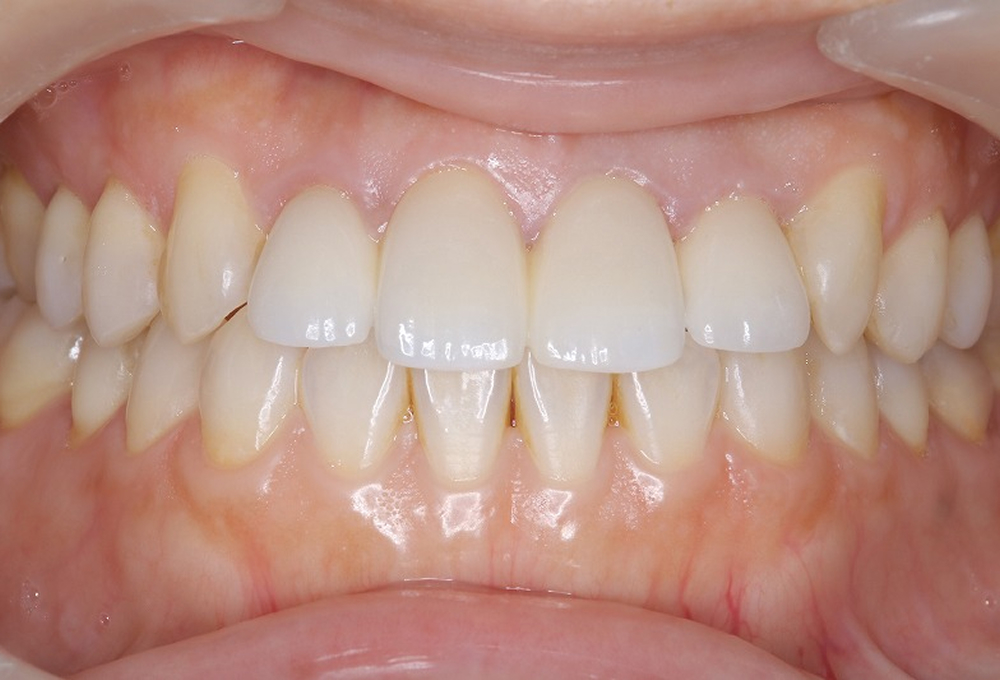
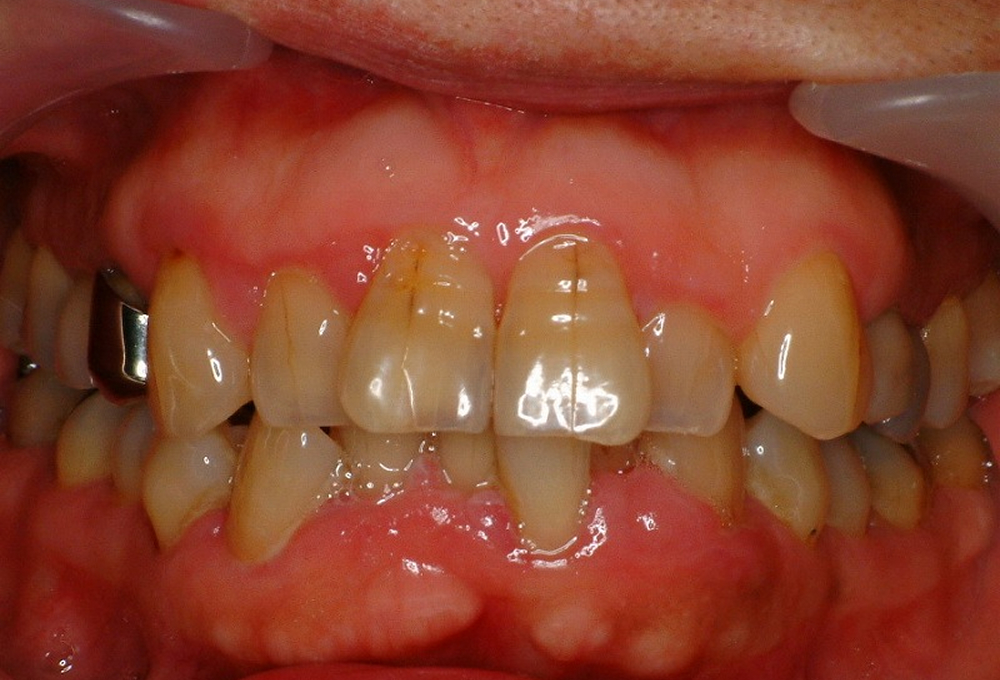
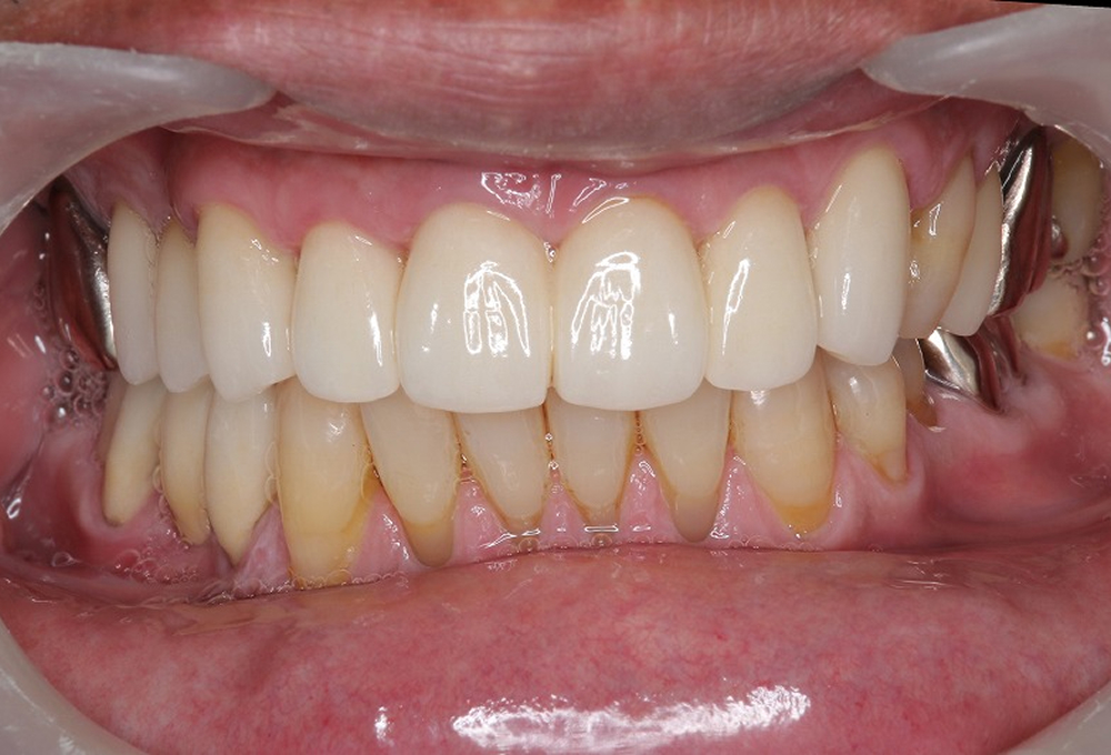
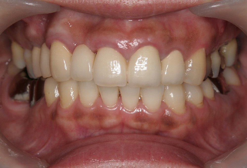
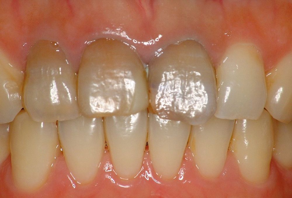
ホワイトニングオールセラミック症例

①術前

①術前

②ホワイトニング後

②ホワイトニング後

③術後オールセラミック装着

③術後オールセラミック装着

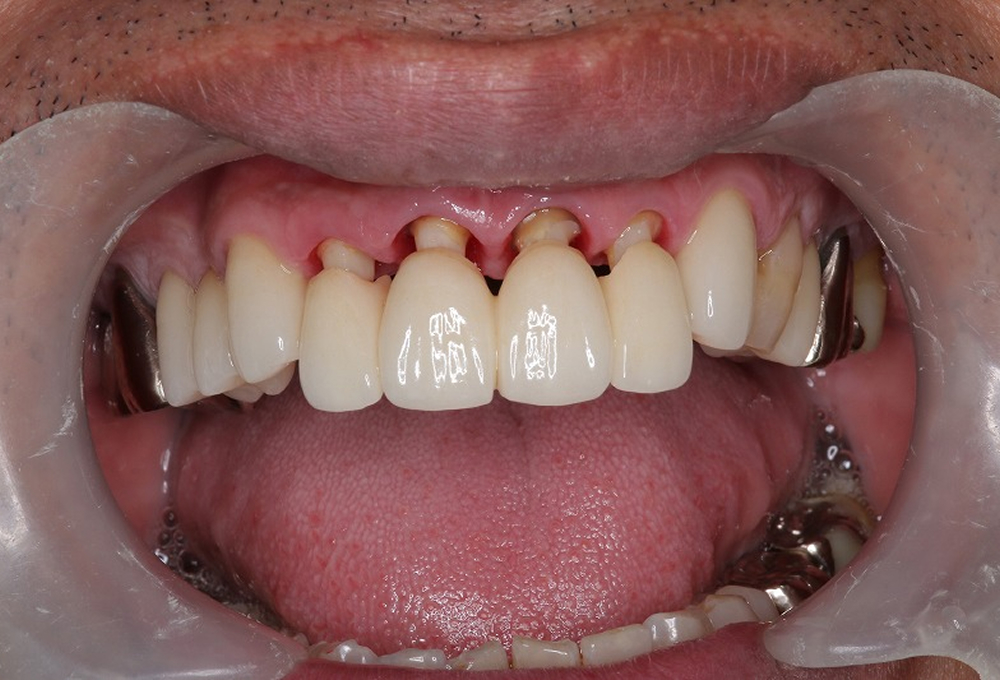
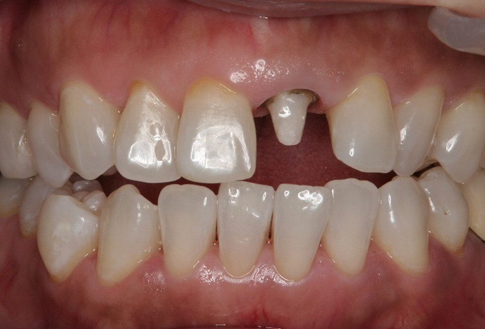
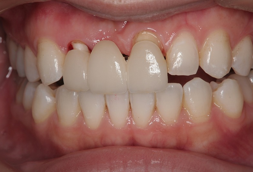
エクストルージョンとメタルセラミック

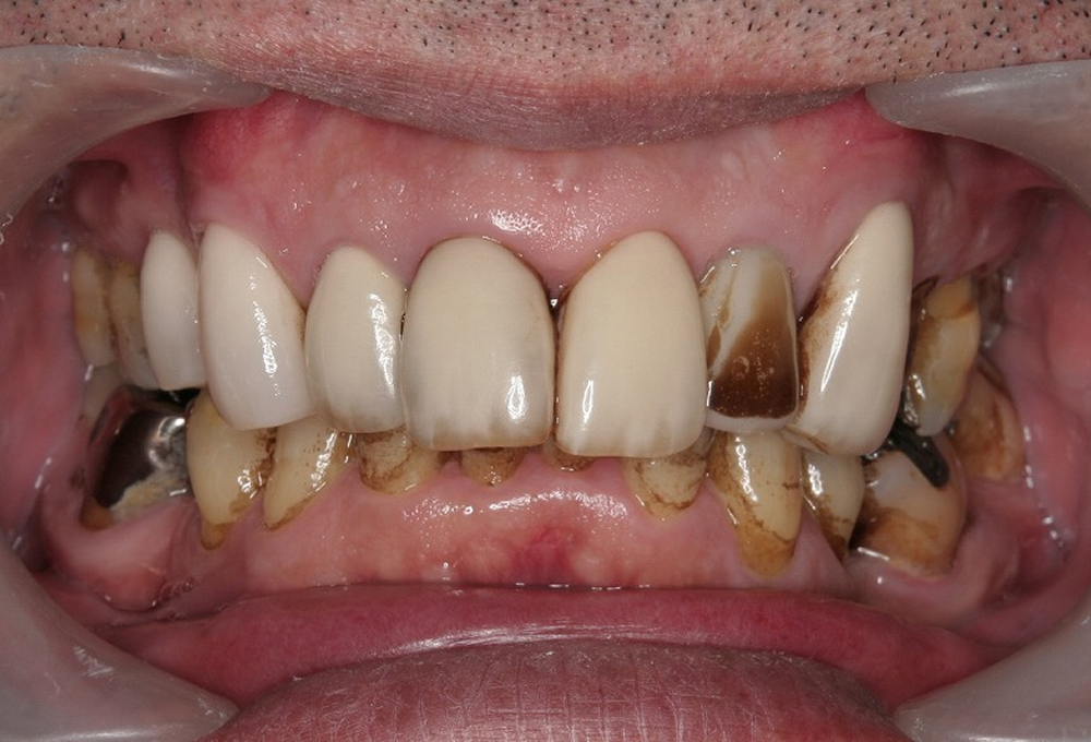
①術前ブリッジ脱離

①術前ブリッジ脱離

②術前

②術前

③エクストルージョン 歯牙牽引

③エクストルージョン 歯牙牽引

④術後 メタルセラミックにて治療

④術後 メタルセラミックにて治療

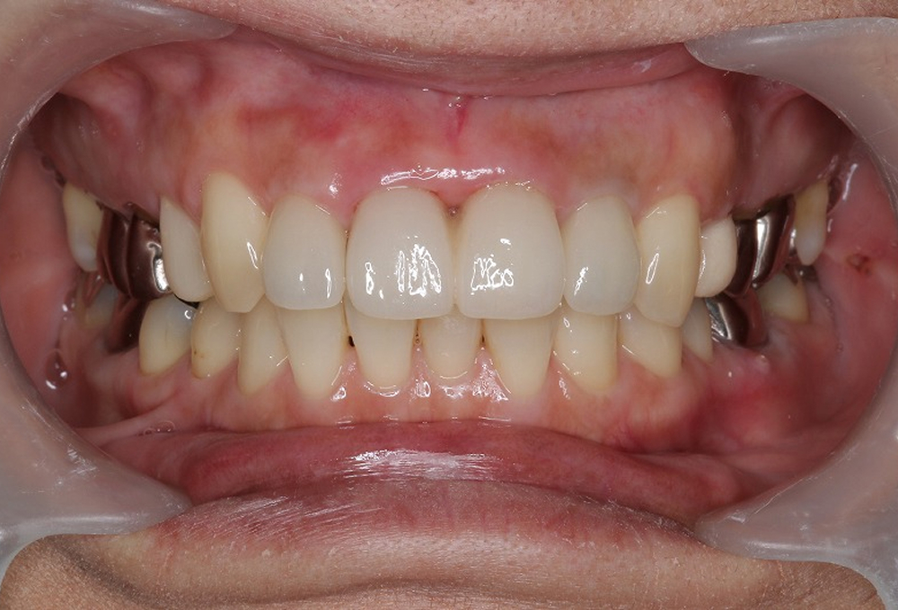
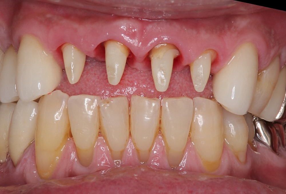
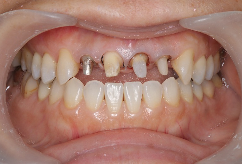
ホワイトニングメタルフリー症例

①術前

①術前

②前歯除去後

②前歯除去後

③術後、ホワイトニング後、オールセラミック装着

③術後、ホワイトニング後、オールセラミック装着