歯周病治療

歯周病とは

歯周病は歯の歯肉に近い部分についた歯垢(プラーク)の中にいる細菌によって引き起こされる病気です。
歯と歯ぐきの境目についた歯垢から、歯の根にそって歯周病菌が入り込み、歯を支えているまわりの組織をじわじわと壊していきます。
統計によると、35歳で80%以上の人が歯周病になっています。
しかし、35歳になってから突然、歯周病になるわけではありません。
実は、10代から少しずつ進行していき、20数年の歳月をかけて、歯肉をジワジワとゆっくり冒し、歯ぐきから血が出るという自覚症状がでる30代の頃には、もはや歯肉炎・歯周炎になっています。
虫歯と違ってほとんど痛みがないため、気がついた時には抜くはめに…なんてこともありえる横綱級のこわい病気なのです。

歯周病矯正補綴 症例

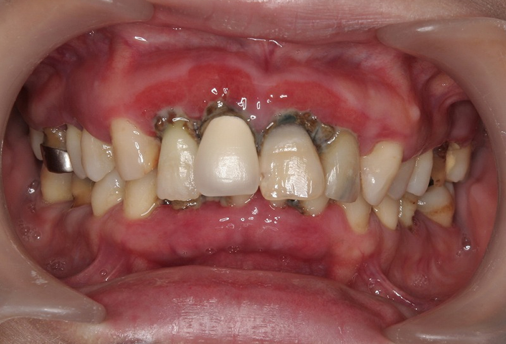
①術前 プラークコントロール不良 歯周炎

①術前 プラークコントロール不良 歯周炎

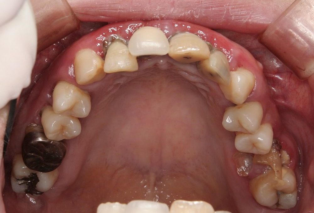
②術前 上顎

②術前 上顎

③術前 下顎

③術前 下顎

④大量の歯石

④大量の歯石

⑤初期治療終了後

⑤初期治療終了後

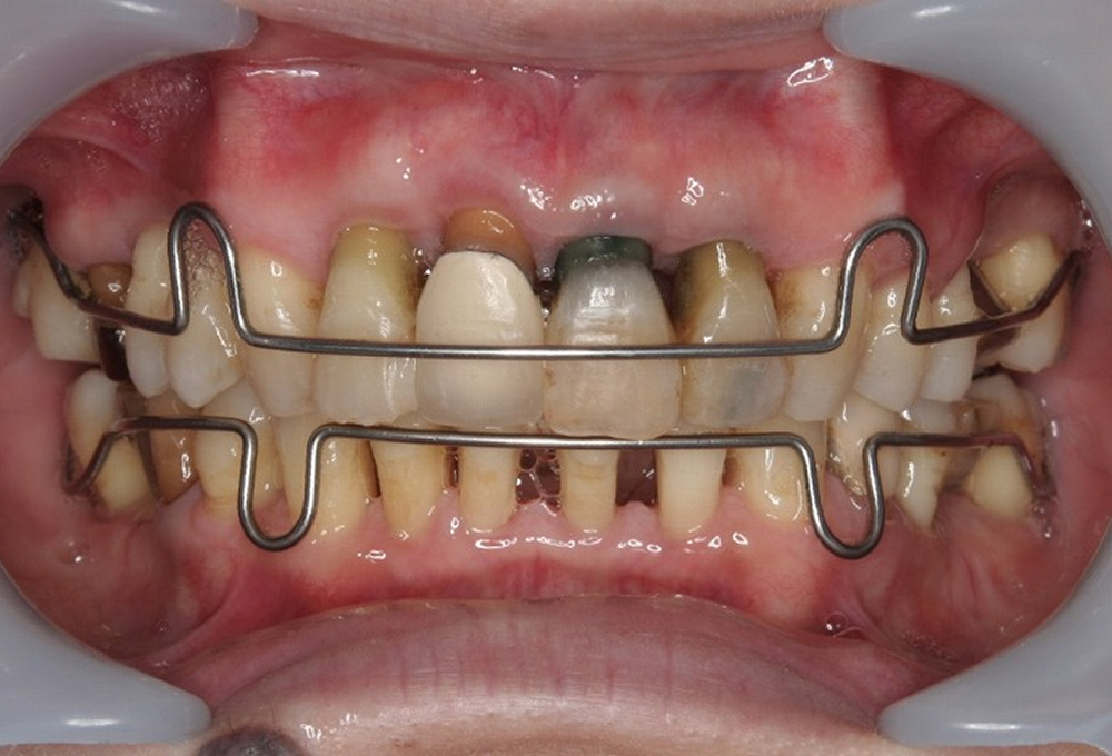
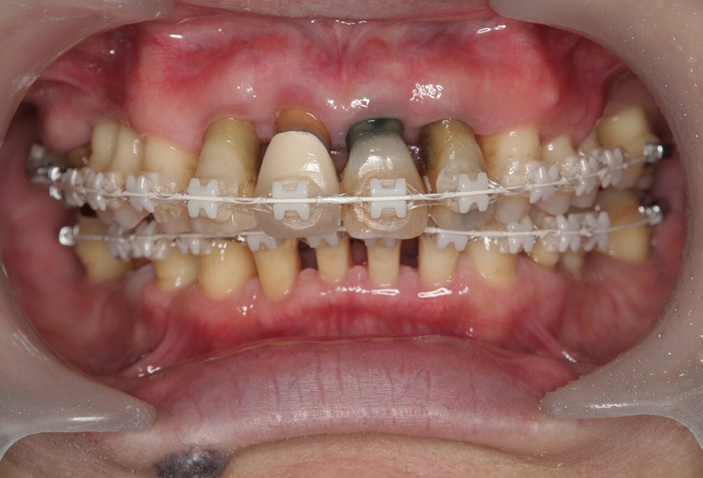
⑥矯正中

⑥矯正中

⑦矯正終了後保定

⑦矯正終了後保定

⑧オールセラミック作成

⑧オールセラミック作成

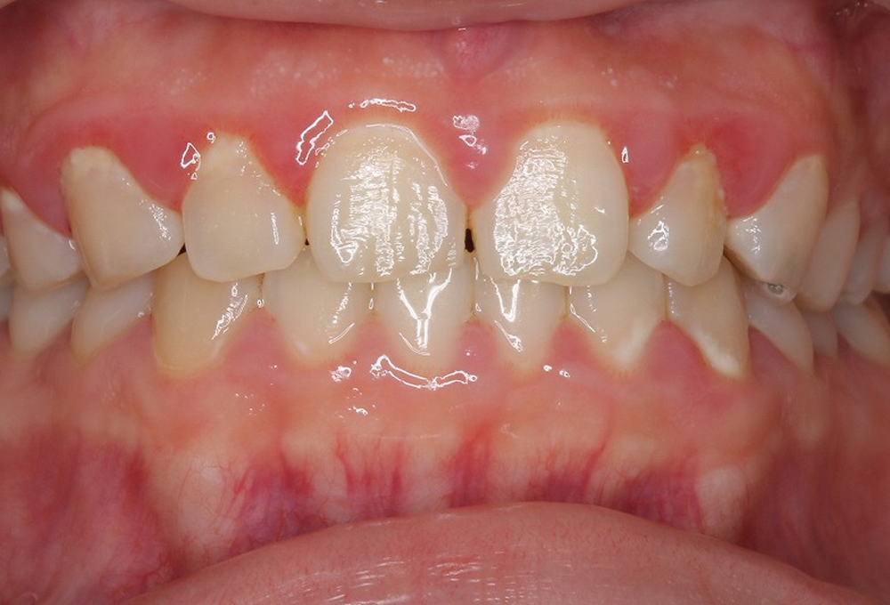
⑨術後オールセラミック装着

⑨術後オールセラミック装着

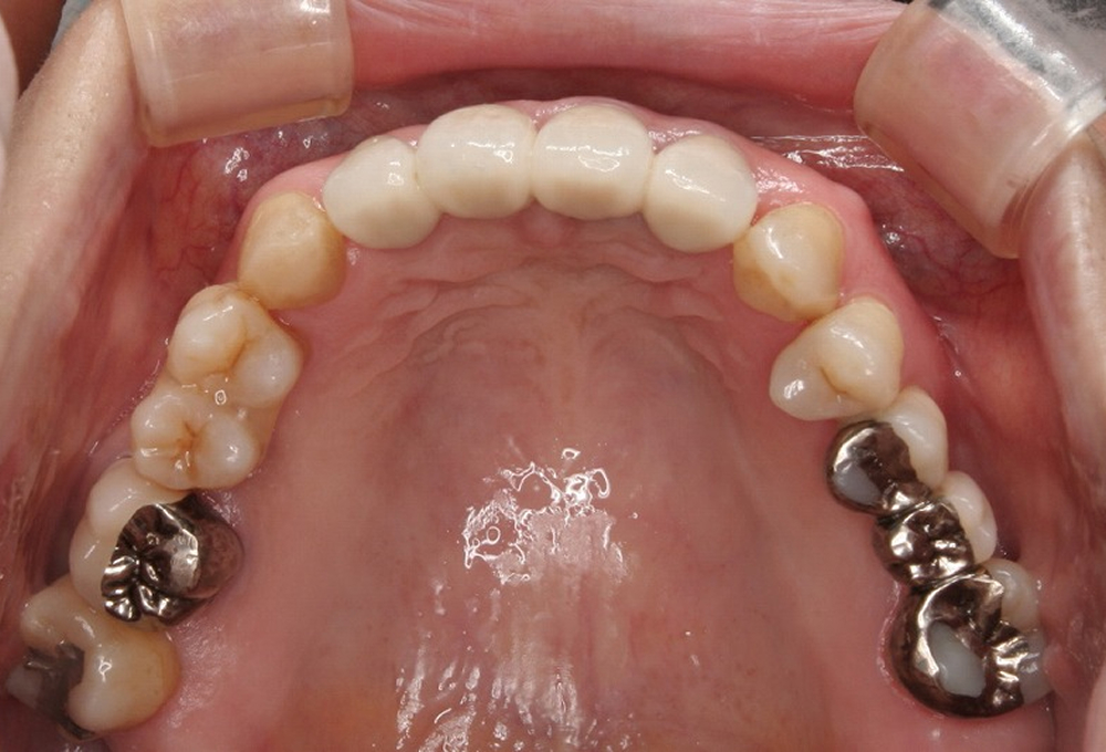
⑩術後 上顎

⑩術後 上顎

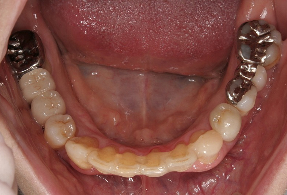
⑪術後 下顎

⑪術後 下顎

歯肉炎 症例

①術前 プラークコントロール不良のため歯肉炎

①術前 プラークコントロール不良のため歯肉炎

②歯肉炎

②歯肉炎

③術後

③術後

清掃指導、スケーリング、PMTCにより改善

歯周病治療の流れ

STEP 1

歯肉の状態を検査

現在の歯肉の状態を検査します(出血の有無、歯周ポケットの深さ)検査結果についてのご説明と歯肉の状態にあったケアについてお話しいたします。

STEP 2

見える部分の歯石を取る

見える部分の歯石を取ります。
このことをスケーリングといいます。

STEP 3

歯石を取り終わった後の歯肉の状態を検査

歯石を取り終わった後の歯肉の状態を検査します。
初期の歯周病はこれで治ります。
※歯肉の状態によっては行わないこともあります

STEP 4

歯肉の中にある歯石をとる

歯肉の中にある歯石をとります。
この場合、悪い所を集中的に行います。
病状によってかかる回数は変わります)(ルートプレーニング)

STEP 5

再度、歯肉の検査

再度、歯肉の検査をします。
中程度の歯周病はこれで治ります。
※病状の改善が見られないときは、歯肉の手術を行うこともあります。
※あるいは定期的に歯肉のチェックを行い、病状を悪化させないようにします。