入れ歯・義歯

金属床義歯

金属で作った入れ歯は、様々なメリットがあります

とても薄い。
とても軽い。
とても丈夫。
熱が伝わりやすく、食べ物の食感を味わえる。つまりご飯がおいしい!
吸湿性のある部分が少ないので、臭いもつきにくい。

咬合挙上 金属床症例

①術前

①術前

②

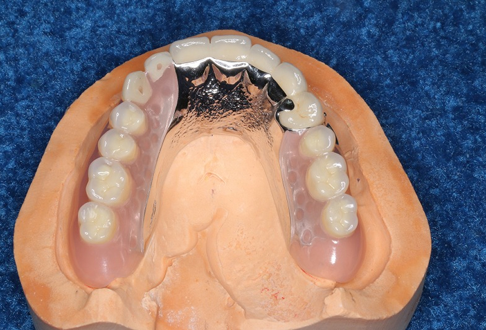
③ノンクラスプ金属床、オールセラミック作製

③ノンクラスプ金属床、オールセラミック作製

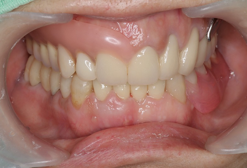
④術後 咬合挙上後ノンクラスプ金属床と前歯オールセラミック装着

④術後 咬合挙上後ノンクラスプ金属床と前歯オールセラミック装着

ノンクラスプ金属床 症例①

①術前

①術前

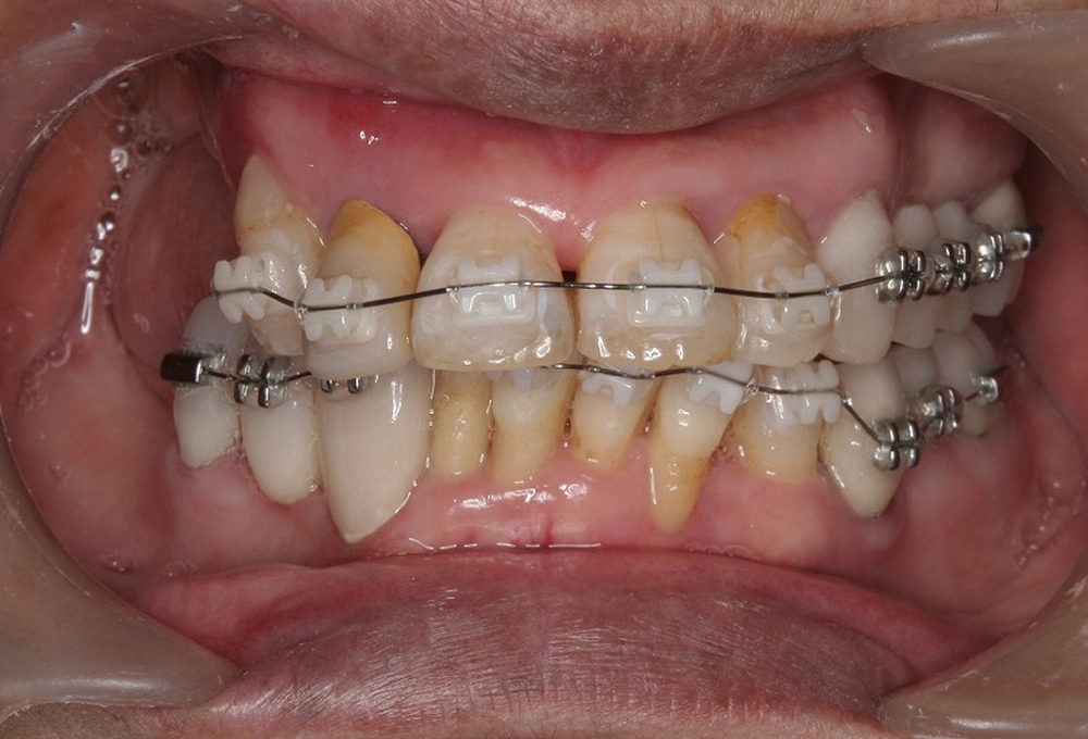
②矯正中

②矯正中

③術後 ノンクラスプ金属床装着

③術後 ノンクラスプ金属床装着

ノンクラスプ金属床 症例②

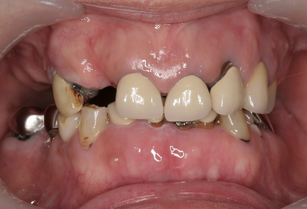
①術前

①術前

②不良補綴物治療後ノンクラスプ金属床作成

②不良補綴物治療後ノンクラスプ金属床作成

③オールセラミック作製

③オールセラミック作製

④ノンクラスプ金属床作製

④ノンクラスプ金属床作製

⑤術後

⑤術後

スマイルデンチャー

もう、入れ歯だからと言って口元を隠さなくても良いのです。
笑顔に自信が持てる入れ歯、それが…スマイルデンチャーです!
・食べ物が入れ歯に挟まる事が少なくなります。
・薄く、軽く、弾力がある素材。とてもよくフィットします。
・金属の鉤が無く、笑顔になっても口元は美しいまま。
・金属アレルギーの方にも最適です。
・入れ歯に透明感があり、歯茎と見分けがつきにくい!
ご覧のチラシやポスター、サンプル等を置いてある歯医者さんだけでお受けできます。
どうぞ歯科医師までご相談ください。

スマイルデンチャー

左下奥歯が欠損→欠損の手前の2本をハイブリッドセラミックスクラウンにて治療→スマイルデンチャー作製

スマイルデンチャー

スマイルデンチャー装着 入れ歯の金具の金属色がないので、自然な感じです。