根管治療

感染根管処置

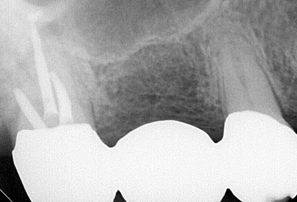
①術前 歯冠大の根尖病変

①術前 歯冠大の根尖病変

②術後 感染根管処置後MTAにて根管充填 病変も縮小した

②術後 感染根管処置後MTAにて根管充填 病変も縮小した

最新の治療法MTA(Mineral Trrioxide Aggregate)を使用した根管治療

最新の治療法MTA

MTAとは1993年に米国で開発された歯科用の水硬性セメントで、強アルカリph12による殺滅作用(ほとんどの細菌はph9.5で破壊されると言われております)と組織を刺激することによる硬組織形成作用があり、覆髄パーフォレーションリペア、クラック、外科的歯内療法など多岐にわたり使用でき優れた成績を有しています。
MTAが推奨される理由として、従来のガッタパーチャによる根管充塡に比べ、その硬化膨張により封鎖性が高く漏洩による炎症を引き起こすことなく外来刺激を遮断し、MTA表層にセメント質の添加が促されることも分かっています。
当院では難治性の根管治療には、マイクロスコープ下にてMTAを使用しています。

根管治療・レーザー症例

①左上7感染根管

①左上7感染根管

②CTで上顎洞粘膜肥厚 根尖病変確認

②CTで上顎洞粘膜肥厚 根尖病変確認

③処置後のCT 上顎洞粘膜の肥厚も消失

③処置後のCT 上顎洞粘膜の肥厚も消失

④YAGレーザーで根管内照射、殺菌

④YAGレーザーで根管内照射、殺菌

⑤根管充填

⑤根管充填

その他根管治療症例

①術前 下顎大臼歯小豆大の根尖病変

①術前 下顎大臼歯小豆大の根尖病変

②感染根管治療途中

②感染根管治療途中

③臨床症状もなくなり根管充填

③臨床症状もなくなり根管充填

④根管充填2カ月後 根尖病変縮小した

④根管充填2カ月後 根尖病変縮小した

①術前 下顎小臼歯の根尖病変 未処置根管有

①術前 下顎小臼歯の根尖病変 未処置根管有

②根管充填後 未処置根管も治療 根尖病変も縮小した

②根管充填後 未処置根管も治療 根尖病変も縮小した

破折ファイル症例

①術前 下顎大臼歯近心根破折ファイル有

①術前 下顎大臼歯近心根破折ファイル有

②マイクロスコープを使用して破折ファイル確認

②マイクロスコープを使用して破折ファイル確認

③破折ファイル除去後

③破折ファイル除去後

④根管充填

④根管充填