審美治療~ホワイトニング~
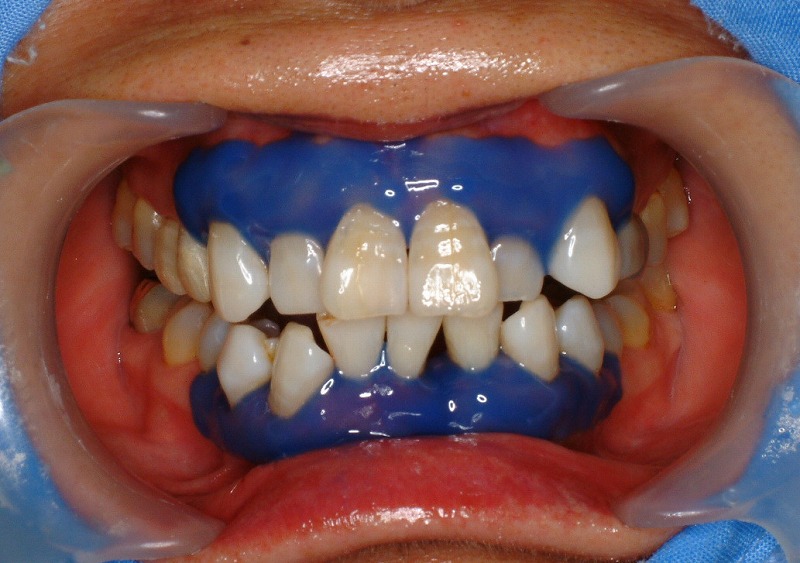
●オフィスホワイトニング(ビヨンドシステム)
ホワイトニングができるかどうか検査します。同時に歯の色の診断も行い、写真を撮ります。
歯をしっかり磨き、歯の表面の汚れをとります。
歯の周辺を保護します。
ホワイトニング材を歯の表面にぬり、合計30~45分間、専用のライトで照らします。(個人差により照射時間が変わることがあります。)
最後に再度、歯の表面を磨きます。
●ホームホワイトニング
ホワイトニングができるかどうか検査します。同時に歯の色の診断も行い、写真を撮ります。
専用のマウスピースを作ります。
専用のホワイトニング材をマウスピースに入れ、自宅で毎日決められた時間装着します。
効果の持続が一番長く、ホワイトニング効果も高いので上記両者の併用をオススメします。

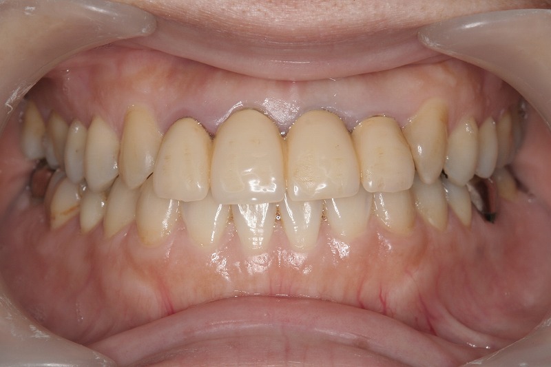
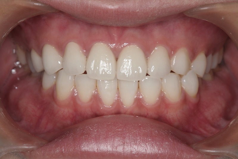
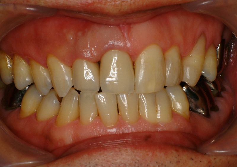
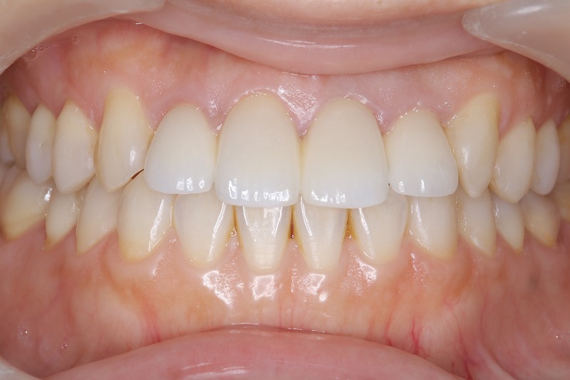
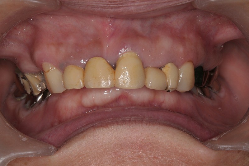
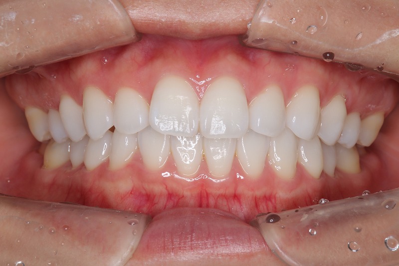
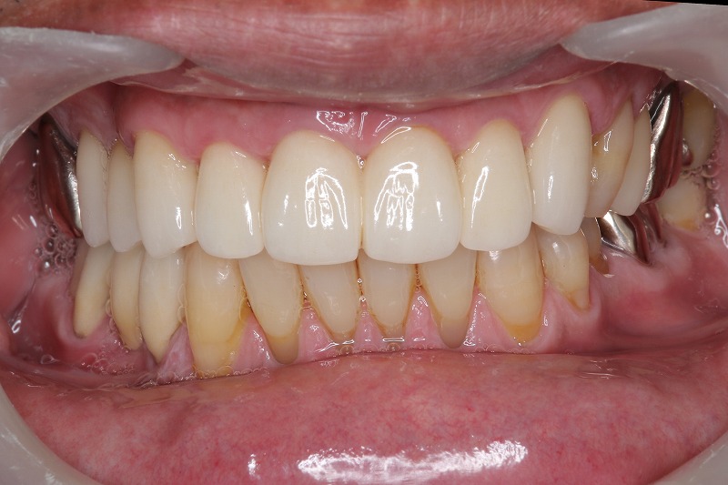
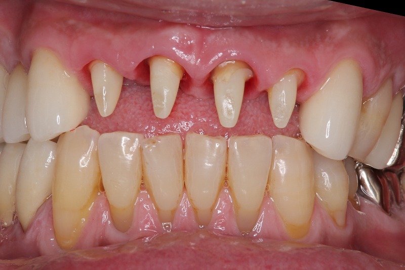
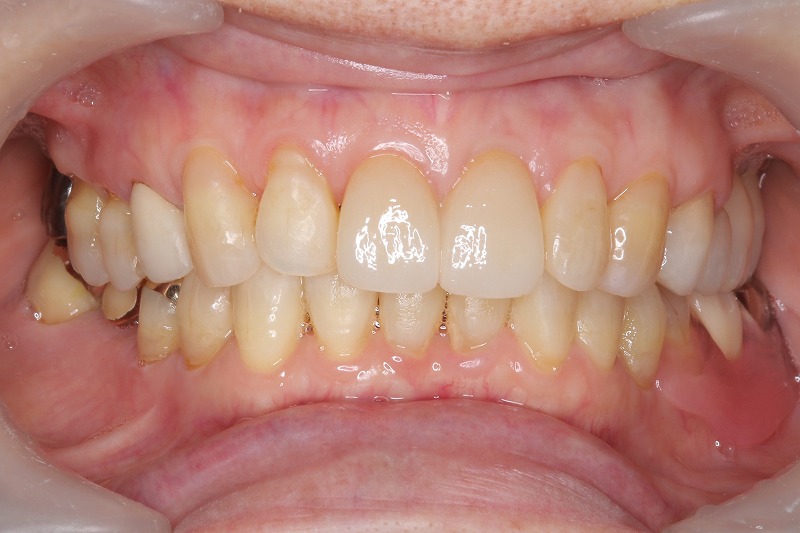
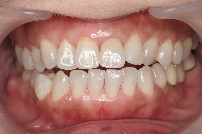
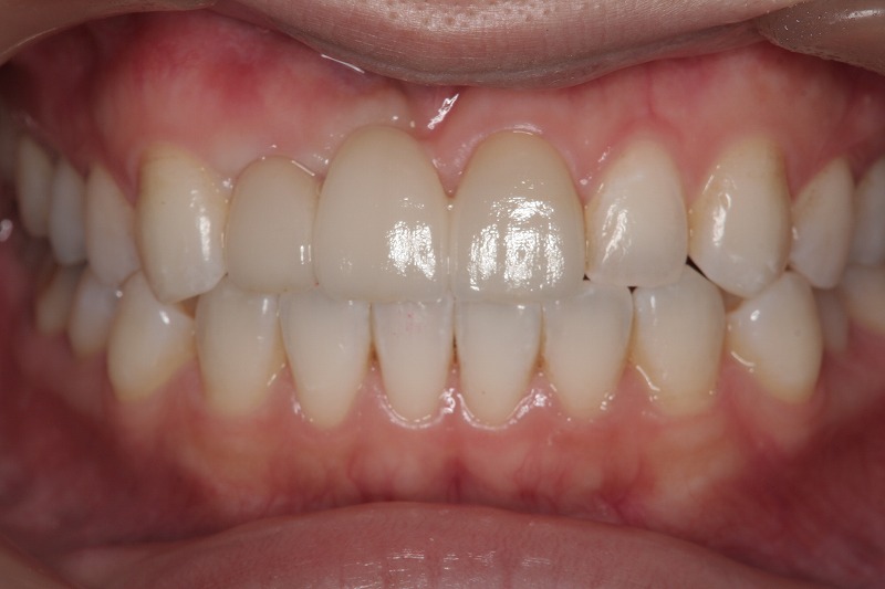
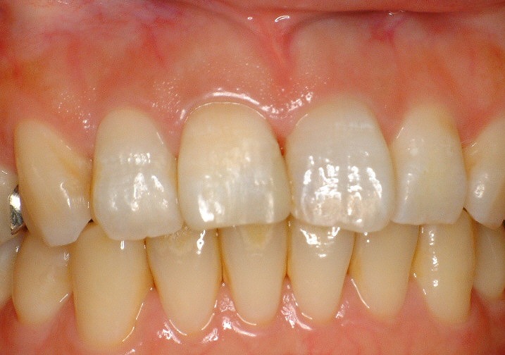
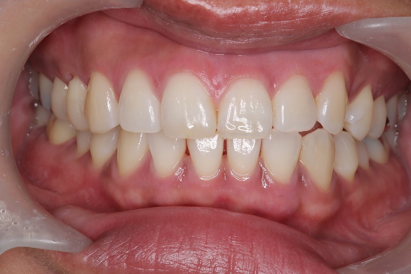
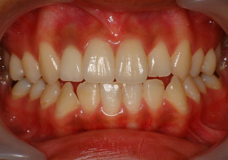
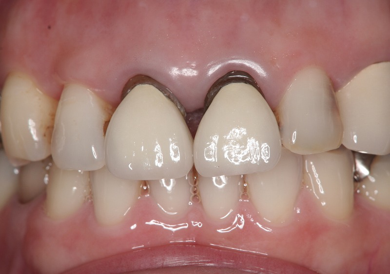
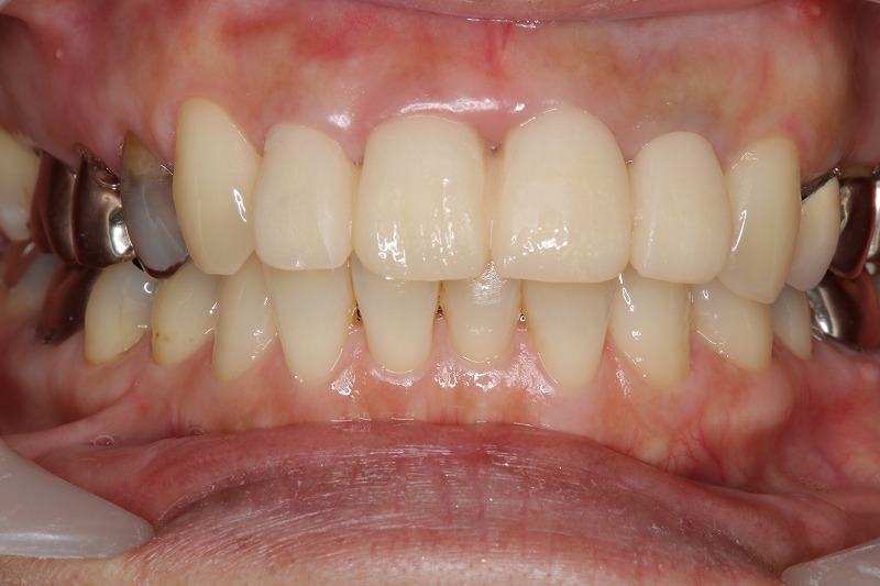
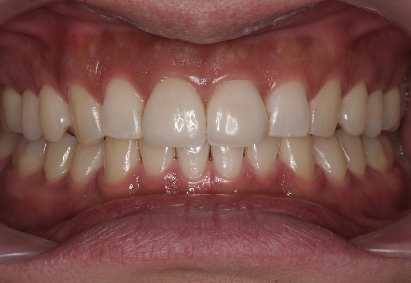
オフィスホワイトニング症例
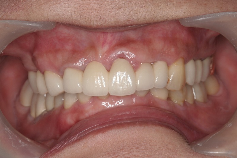
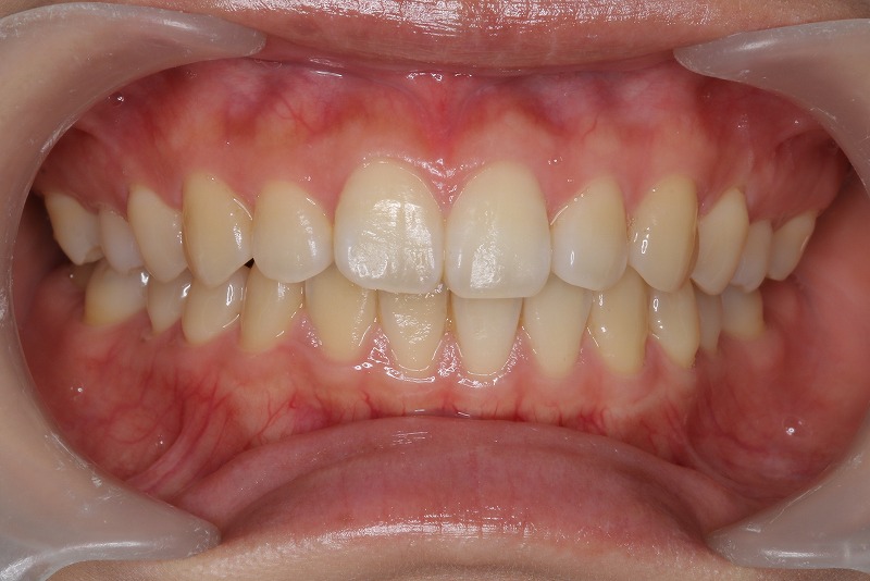
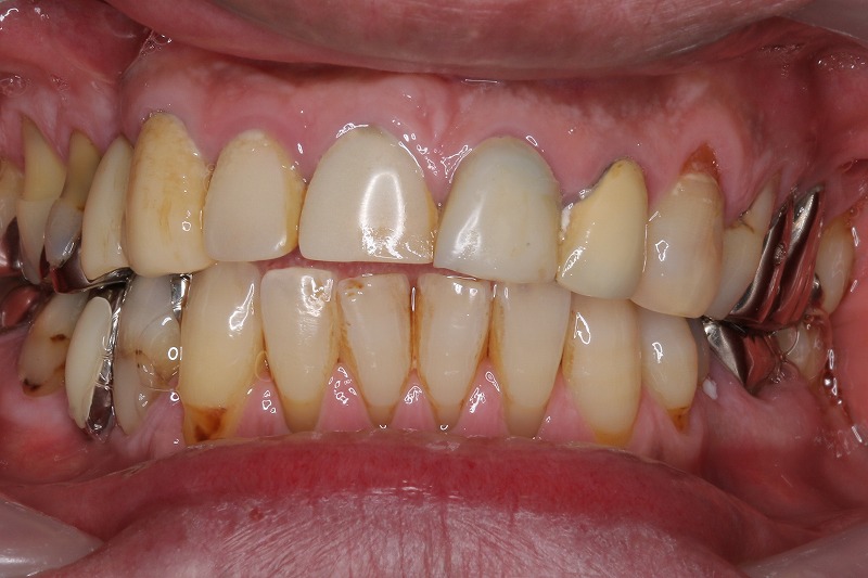
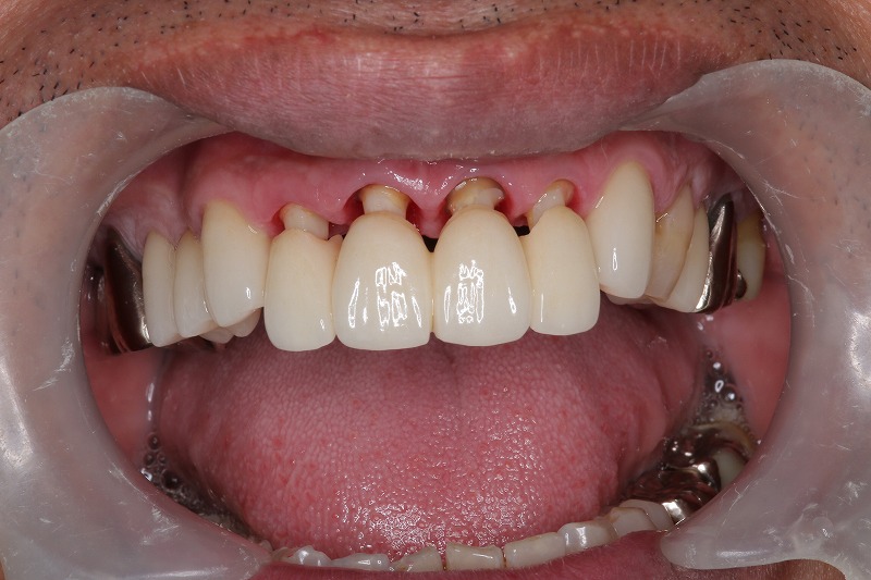
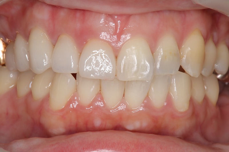
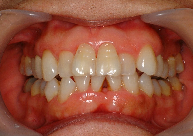
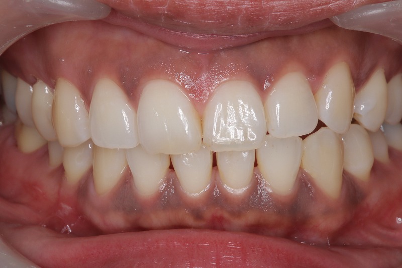
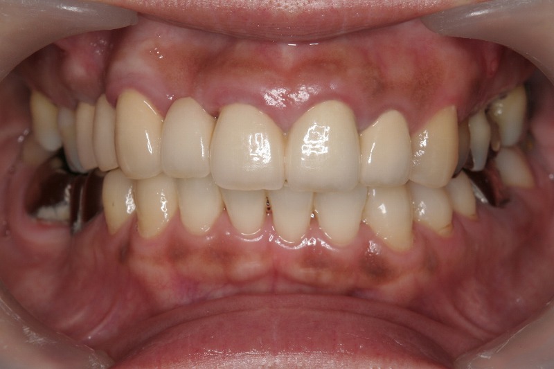
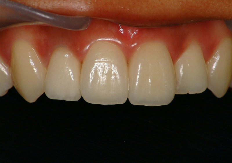
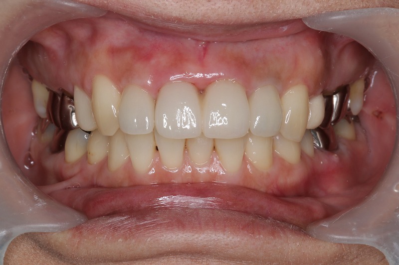
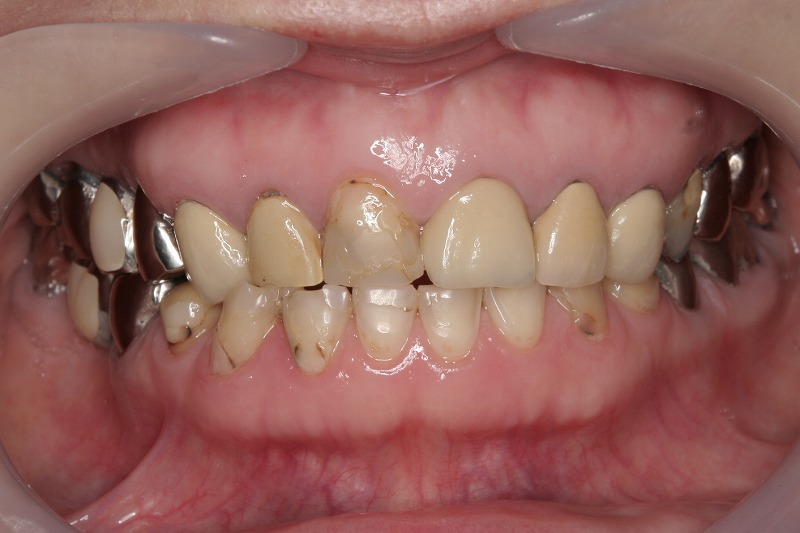
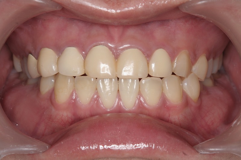
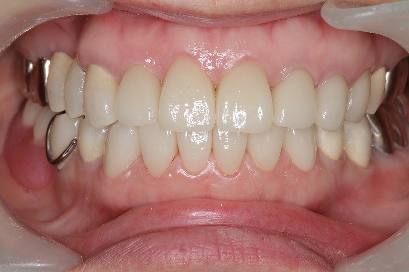
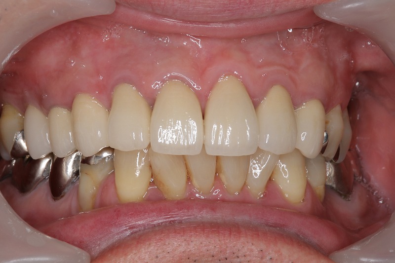
ホームホワイトニング症例
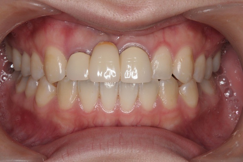
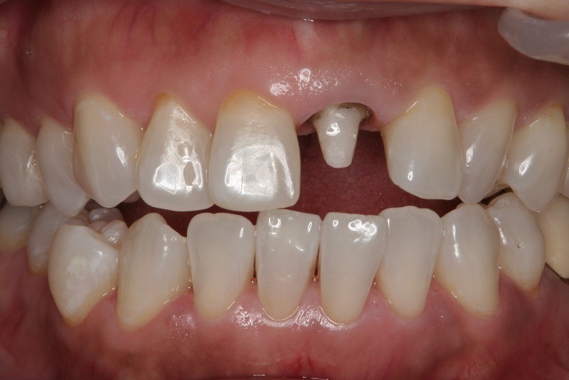
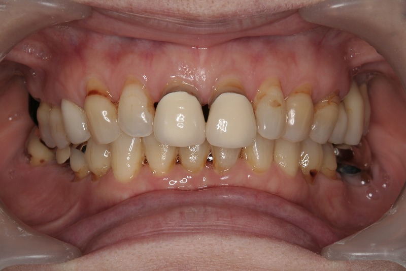
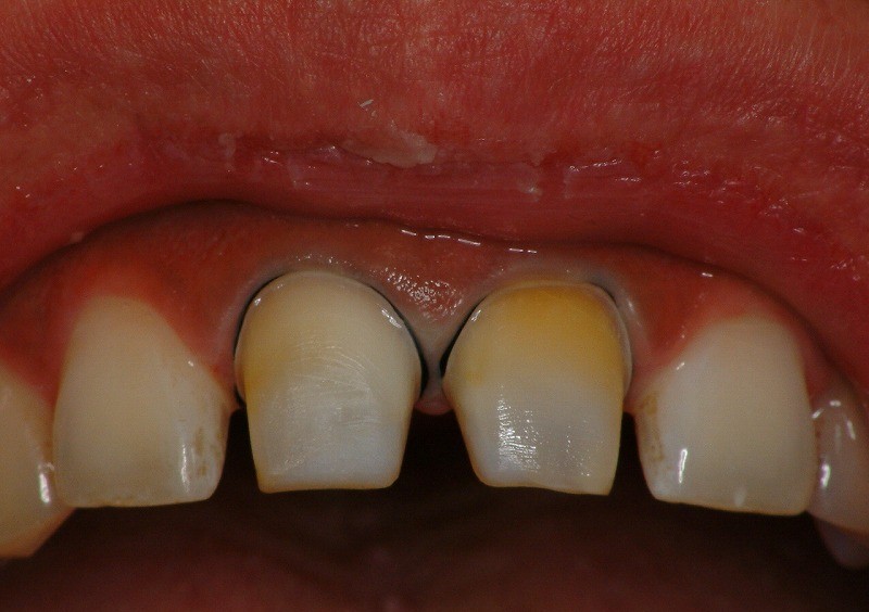
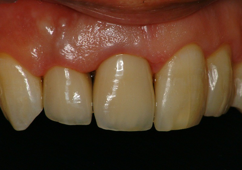
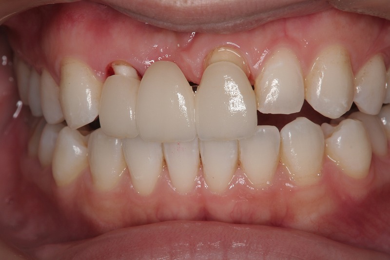
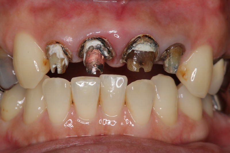
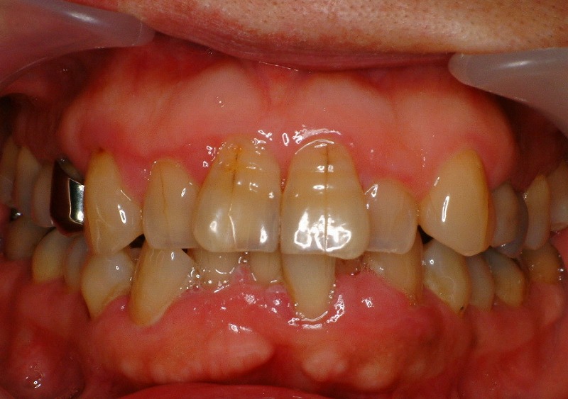
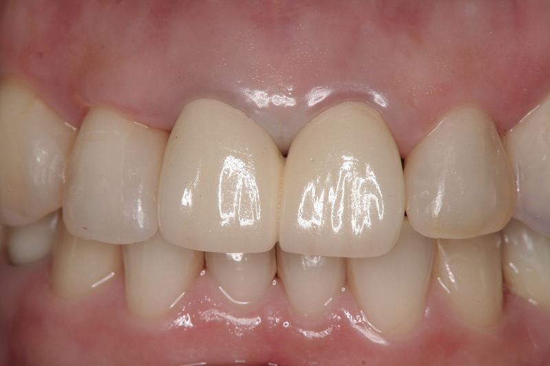
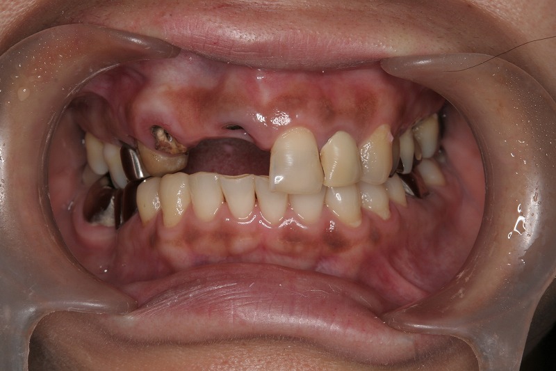
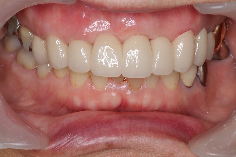
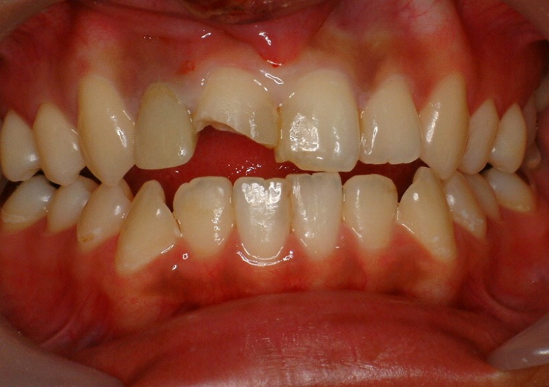
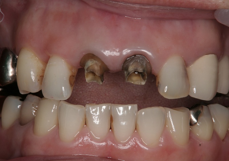
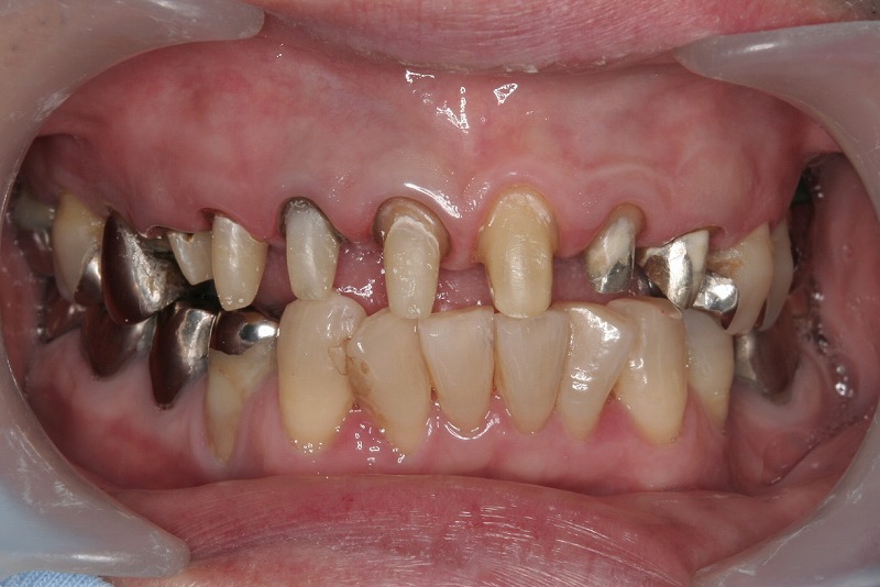
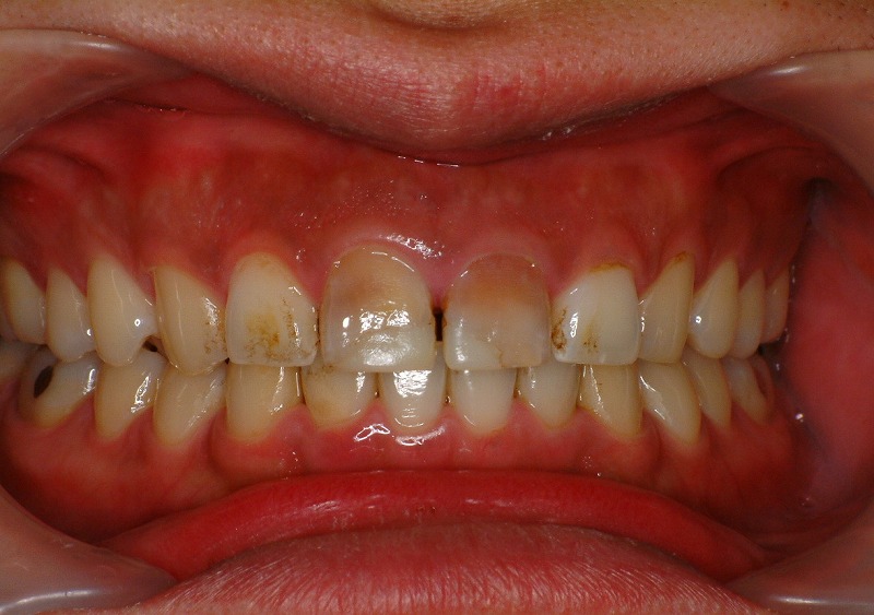
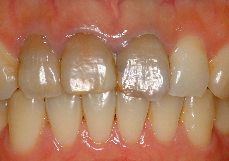
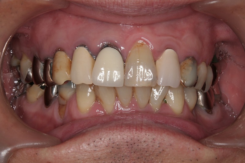
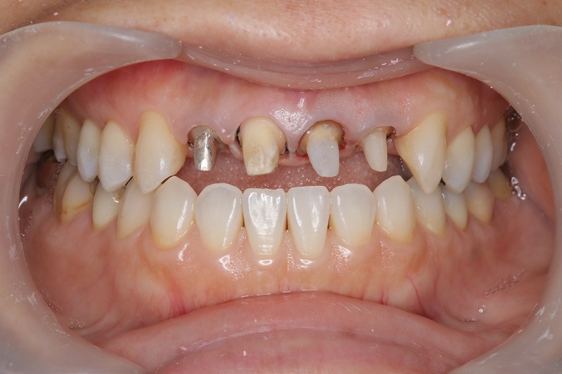
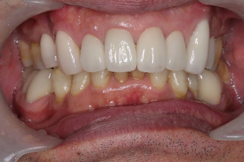
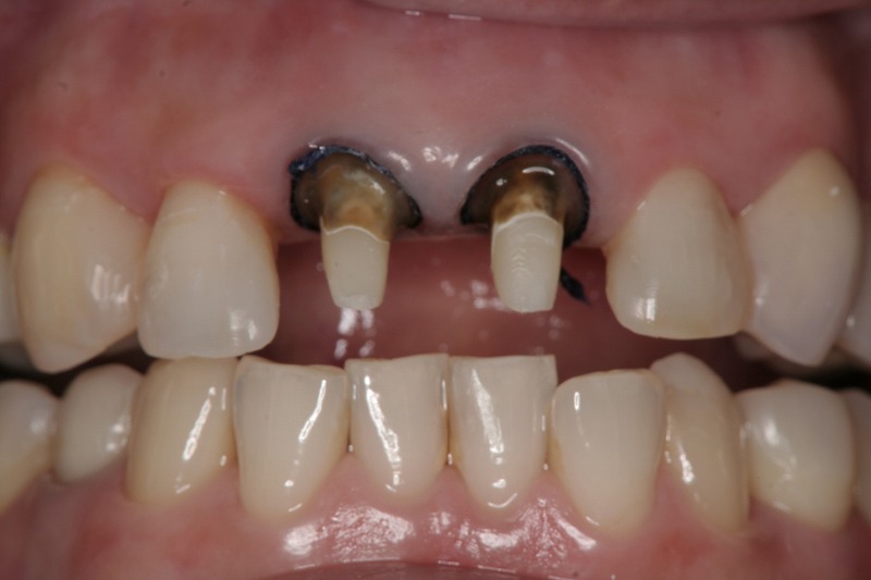
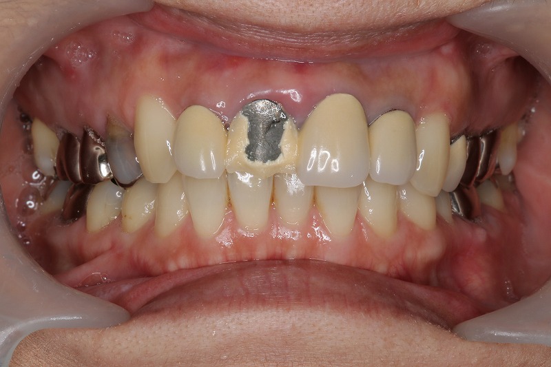
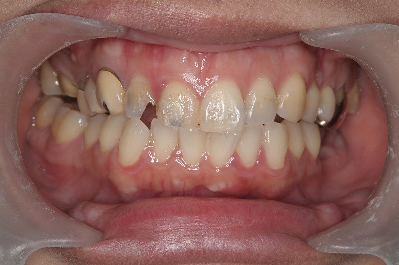
ウォーキングブリーチテクニック症例 変色歯への処置
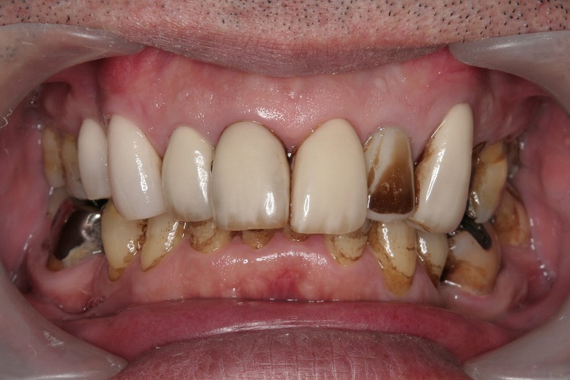
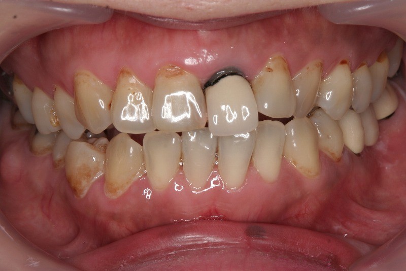
メラニン色素沈着による歯茎の黒ずみ
PMTC(Professional Mechanical Tooth Cleaning)
PMTC(Professional Mechanical Tooth Cleaning)とは
専門の機器を用いて、徹底的に歯をキレイにすること
(バイオフィルムは機械的にしか除去できない)
歯の着色汚れを落とし、歯の表面をツルツルにすることで見た目を白くし、汚れがつきにくくなります。
毎日すみずみまで磨いているつもりでも、どうしても歯ブラシの届きにくい所、汚れがたまりやすい所ができてしまいます。
この部分のお掃除を徹底的に行うのがPMTCです。