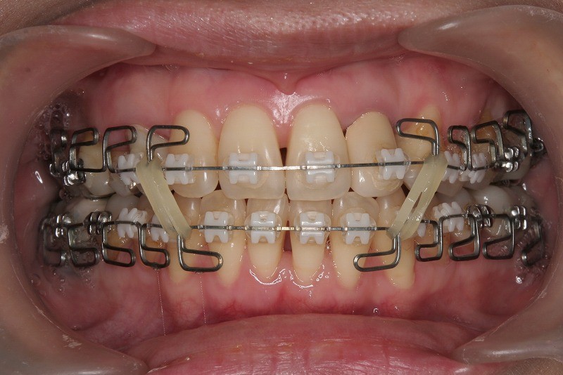
矯正治療 叢生症例
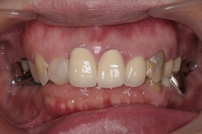
開咬 矯正 補綴症例
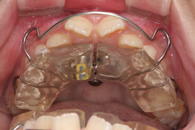
拡大床 トレーナー症例
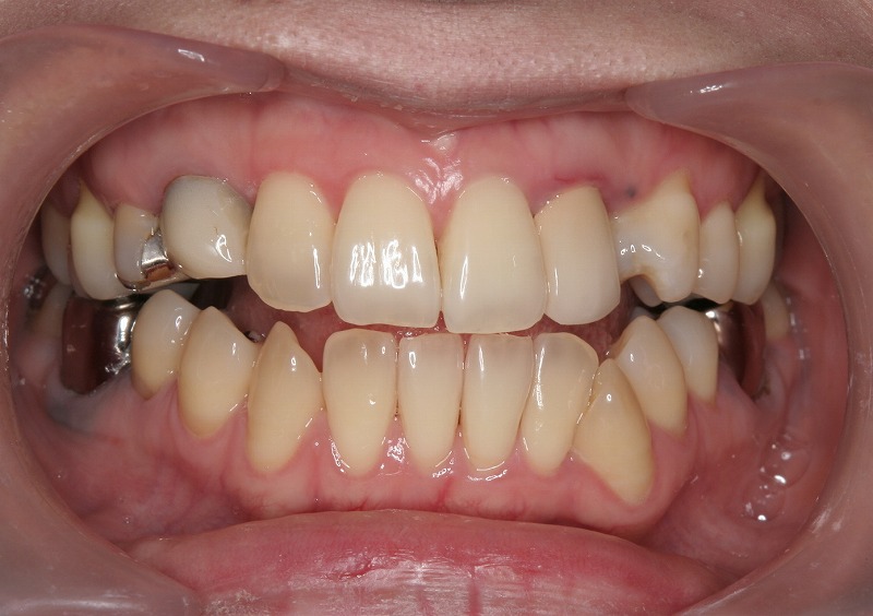
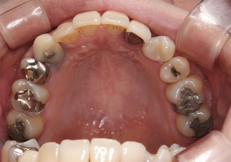
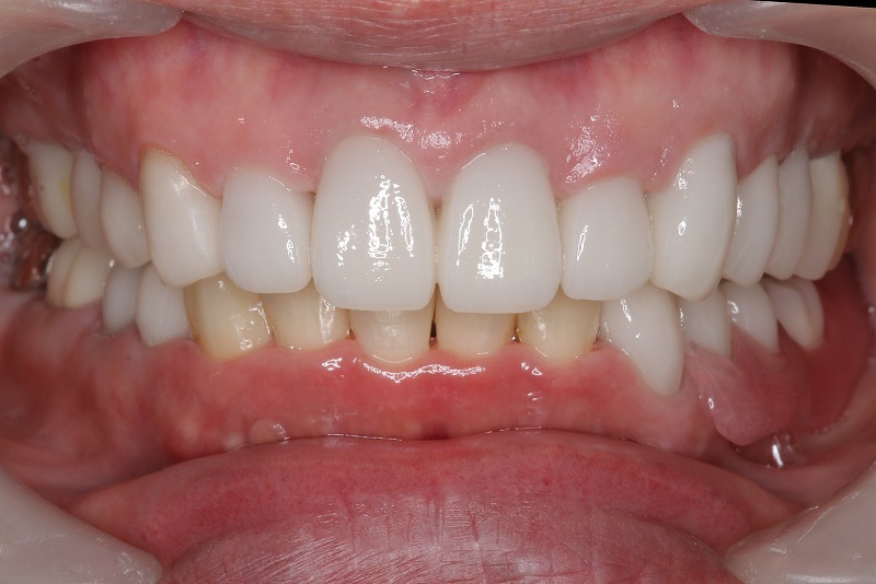
矯正補綴インプラント症例
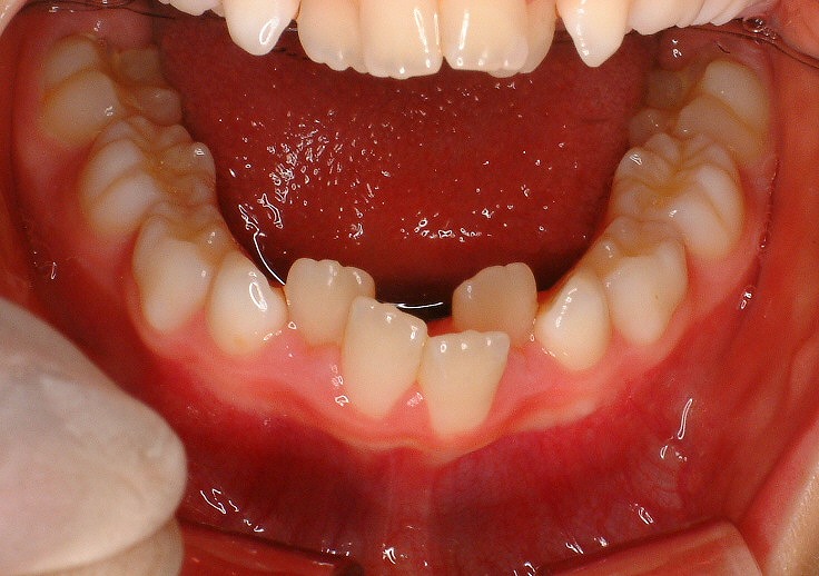
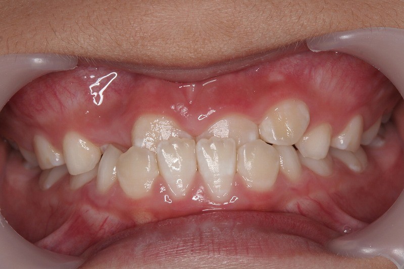
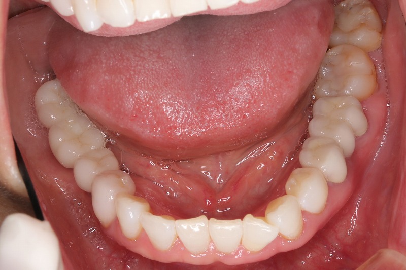
反対咬合症例
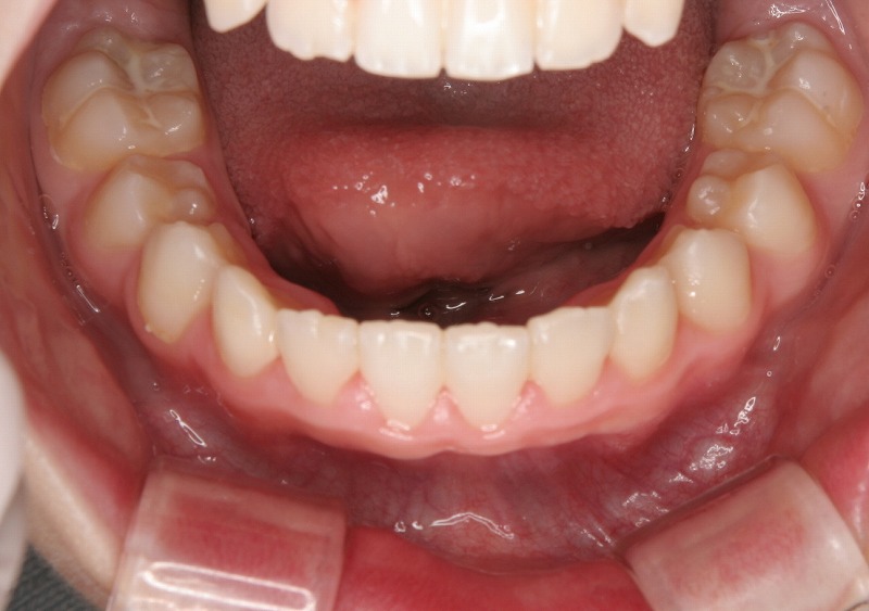
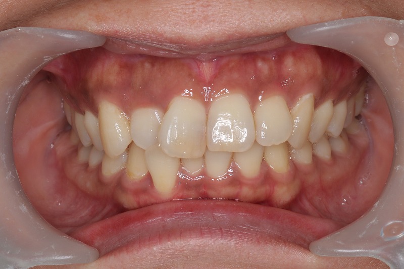
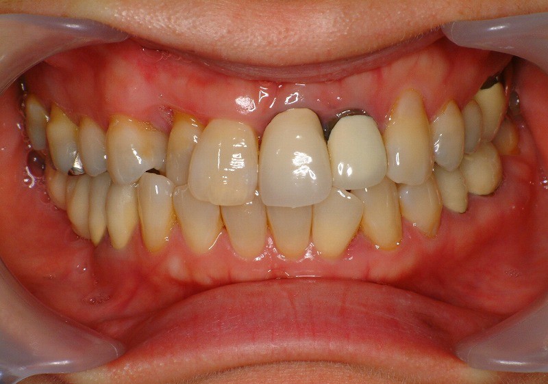
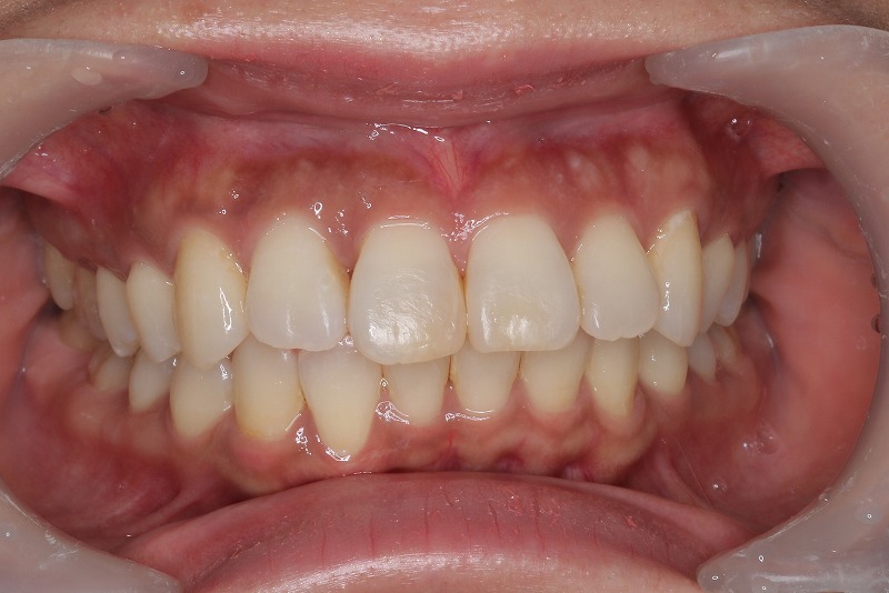
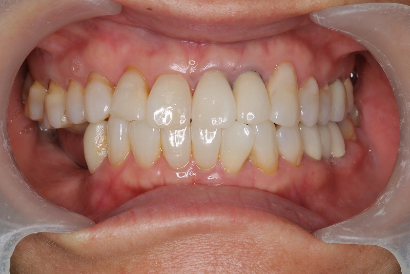
咬合拳上 補綴症例②
小児の矯正治療

乳歯が生えはじめてから10数年を経て永久歯咬合が完成します。この間、咬合に不正が生じた場合には通常、次のように二期に分けた矯正治療をします。
初期治療(早期治療、一期治療)は3歳~12歳頃までの永久歯咬合完成前の段階で、良好な咬合が形成されるように誘導する歌合育成の治療です。この時期は旺盛な成長発育があるので比較的単純な装置で歯の位置や、顎骨の位置関係の改善を行います。
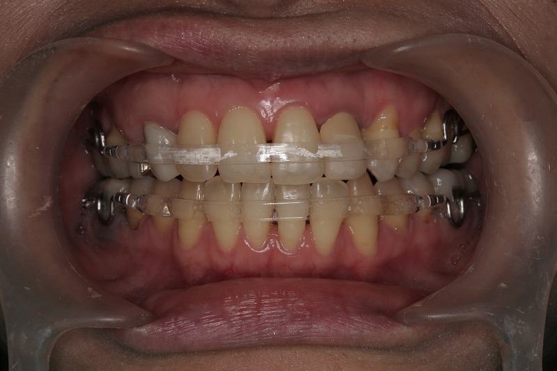
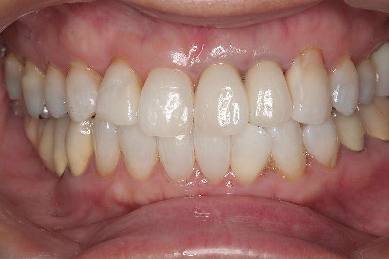
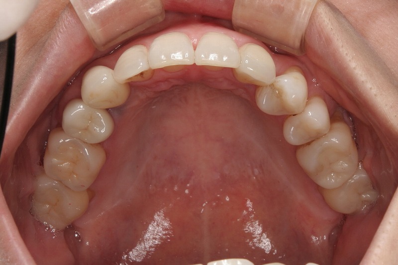
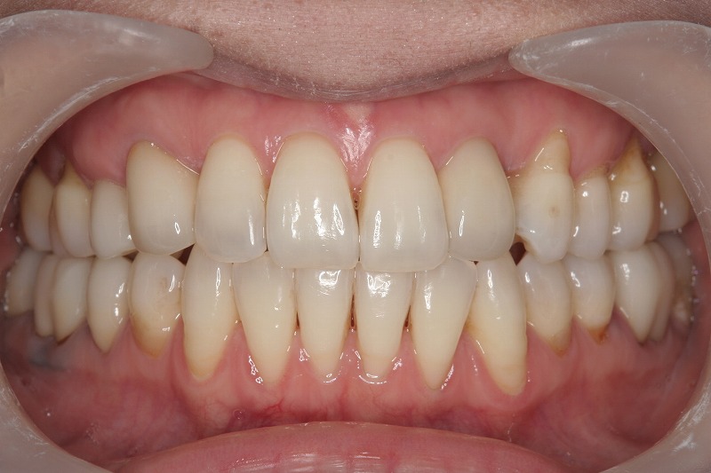
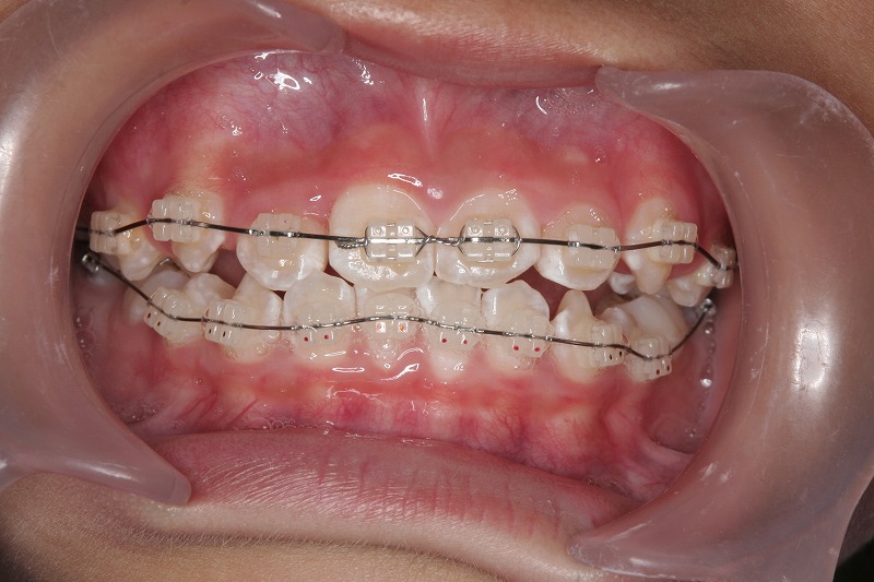
本格治療(二期治療)は永久歯咬合がほぼ完成し、大きな成長発育の時期が過ぎてから、厳密に歯を動かして良い咬合を形成するために固定式の留め具(マルチブラケット装置)を用いて矯正します。
※MFTとは 舌や唇の癖を修正し、正しい位置や運動を身につける□腔筋機能訓練法で、乳歯列期から行うのが有効とされます。
小児の矯正治療(症例) 1
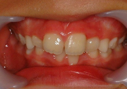
①術前:8歳 4前歯が反対咬合で歯が並ぶスペースも不足。
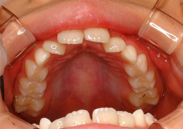
②拡大床(エキスパンジョンスクリュー 床矯正装置)を作製。
③装着した所
④4ヵ月後 反対咬合が改善し、歯が並ぶスペースも確保できた。ここまできていれば永久歯列になったときの矯正は簡単です。


小児の矯正治療(症例) 2
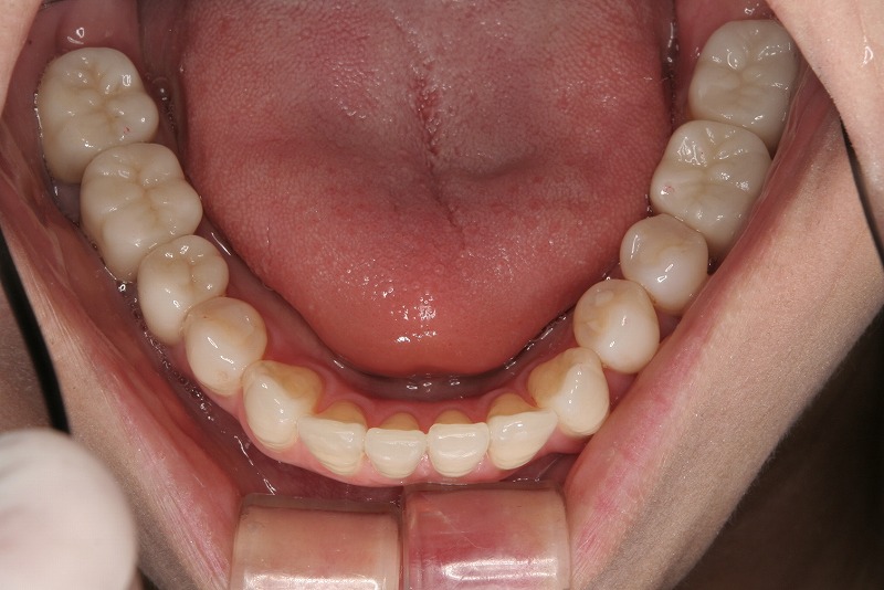
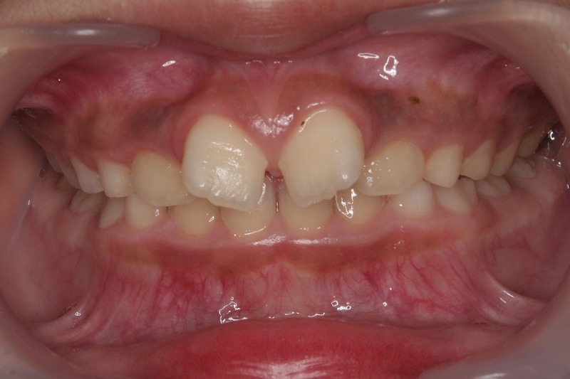
①術前 8歳 下顎4前歯の歯が並ぶスペースが不足。歯列弓も狭少。
②拡大床を作製
③装着した所
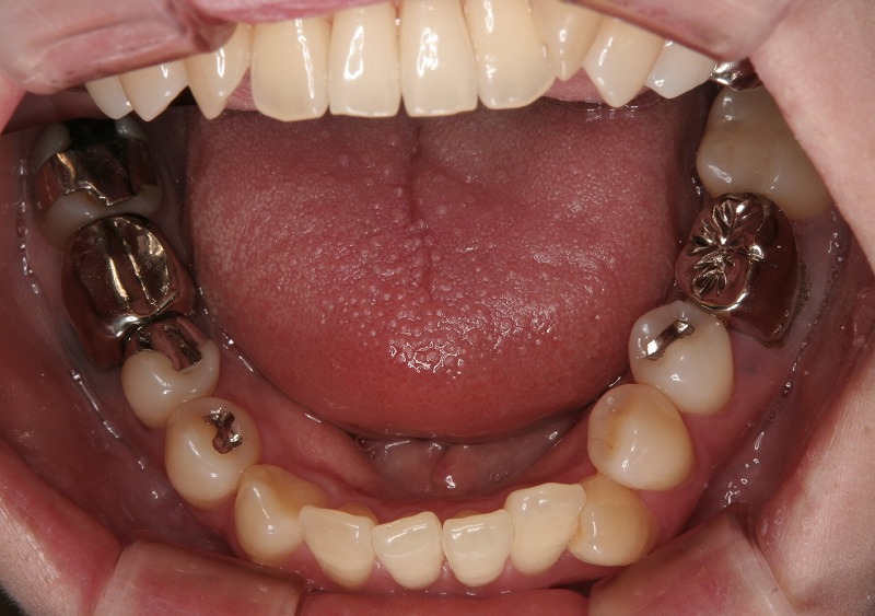
④1年後スペースが確保され、歯列弓全体も拡大されている。ここまで広がれば,非抜歯で矯正できます。
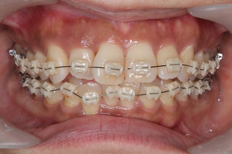
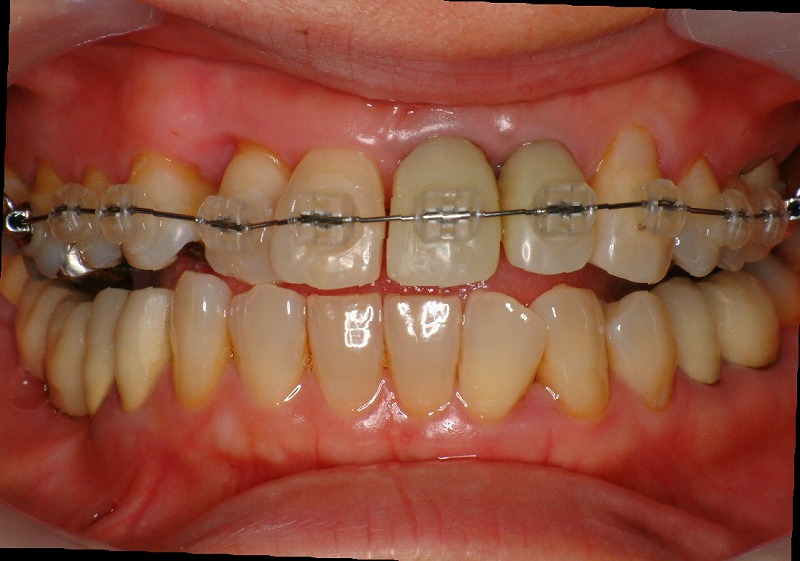
⑤拡大床後、6前歯のみ約3ヶ月ブラケットを装着し矯正。
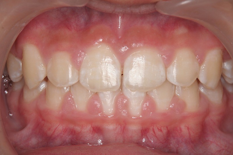
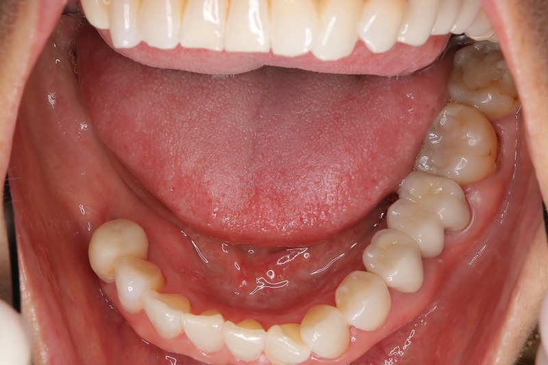
⑥ブラケットをはずし矯正終了。綺麗な歯並びになりました。


