金属床義歯
≪金属で作った入れ歯は、様々なメリットがあります≫
とても薄い。
とても軽い。
とても丈夫。
熱が伝わりやすく、食べ物の食感を味わえる。つまりご飯がおいしい!吸湿性のある部分が少ないので、臭いもつきにくい。
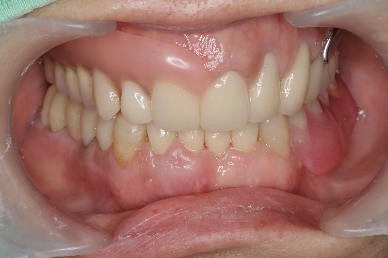
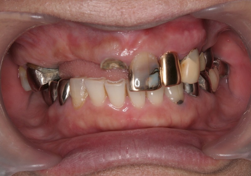
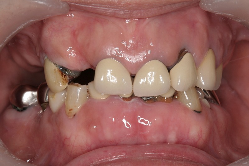
咬合挙上 金属床症例
ノンクラスプ金属床 症例①
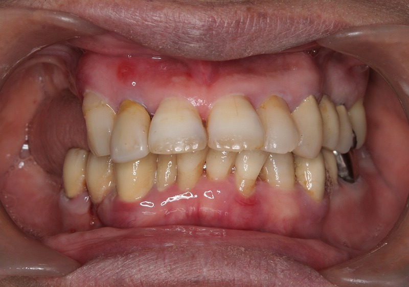
ノンクラスプ金属床 症例②
スマイルデンチャー
もう、入れ歯だからと言って口元を隠さなくても良いのです。笑顔に自信が持てる入れ歯、それが…
スマイルデンチャーです!
・食べ物が入れ歯に挟まる事が少なくなります。
・薄く、軽く、弾力がある素材。とてもよくフィットします。
・金属の鉤が無く、笑顔になっても口元は美しいまま。
・金属アレルギーの方にも最適です。
・入れ歯に透明感があり、歯茎と見分けがつきにくい!
ご覧のチラシやポスター、サンプル等を置いてある歯医者さんだけでお受けできます。
どうぞ歯科医師までご相談下さい。

①左下奥歯が欠損→欠損の手前の2本をハイブリッドセラミックスクラウンにて治療→スマイルデンチャー作製

スマイルデンチャー装着 入れ歯の金具の金属色がないので、自然な感じです。