静脈内鎮静法
麻酔認定医による安心な麻酔
麻酔は、コンピュータ制御による局所麻酔装置を使用しているので、手術中の痛みはほとんど感じません。
また、痛みに敏感な方や麻酔に抵抗感がある方に対して、当院では麻酔認定医による全身管理下において、静脈内鎮静法という麻酔法を行っています。
患者様の血圧や呼吸などの状態をコンピュータで確認しながら、静脈に少しずつ点滴を入れていく麻酔法です。全身麻酔と違い意識がなくなることはなく、会話 することも可能です。
この麻酔法を用いることで、緊張感や恐怖感がなく、うたた寝をしているような感覚で手術を受けることが可能になります。
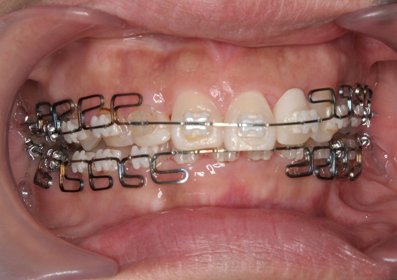
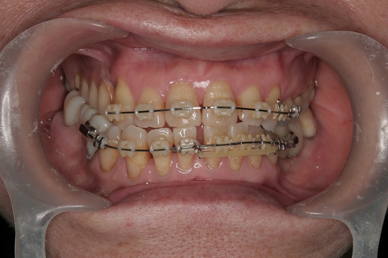
矯正・インプラント症例
インプラントとは?
失ってしまった自分の歯の替わりに、人工の歯根をあごの骨に埋め込み、その上に人工の歯を作製してかみ合わせを回復する治療法です。
固定性であるためガタついたりせず、自分の歯のようにかめるようになります。天然歯のようにあごの骨に固定するので、違和感なくかむことができます。
長所と注意点
長所としては、
・かむ力は天然歯の約80%回復することが出来るので、固いものをかむことが出来るようになる。
・ブリッジなどと異なり隣の歯を削る必要がない。
・見た目が天然に近い。
などがあげられますが、

・インプラントをあごの骨に埋めこむ手術が必要。
・全身の疾患がある場合には治療ができない場合がある。
・インプラントを維持するためには十分な口腔衛生の管理と定期的な検診が必要である。
・保険外診療となり、手術の難易度、埋入本数等により必要な費用が変わってくる。
以上の点に注意する必要があります。

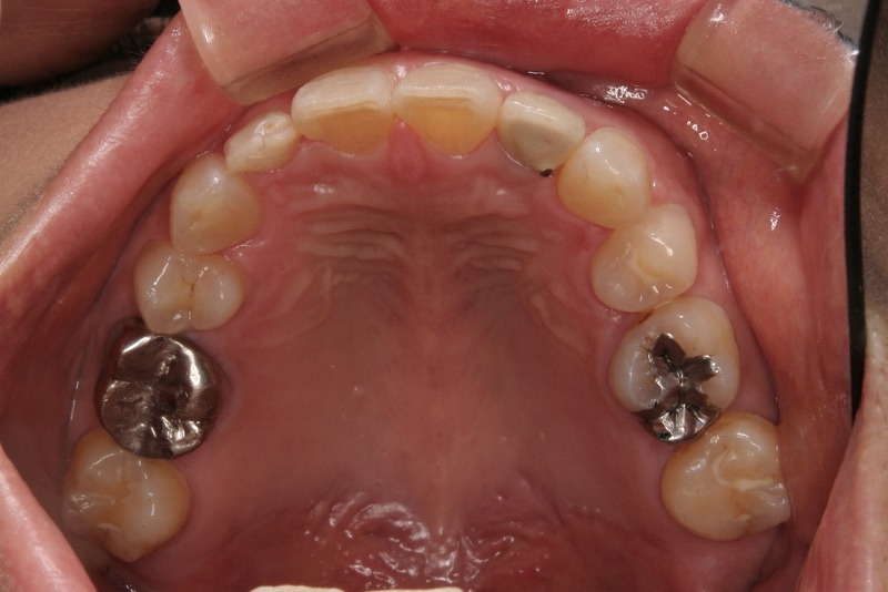
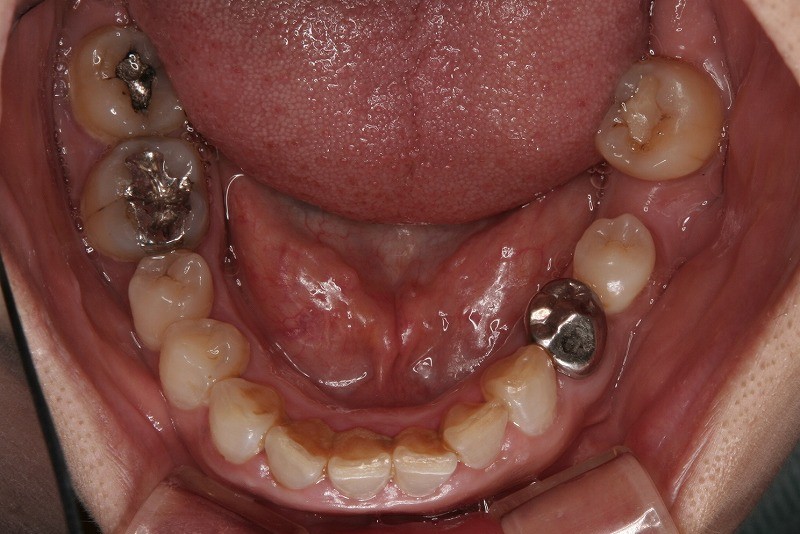
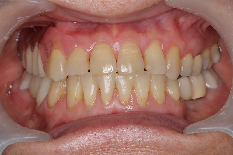
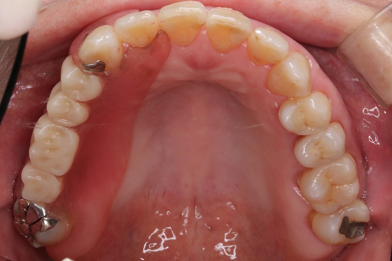
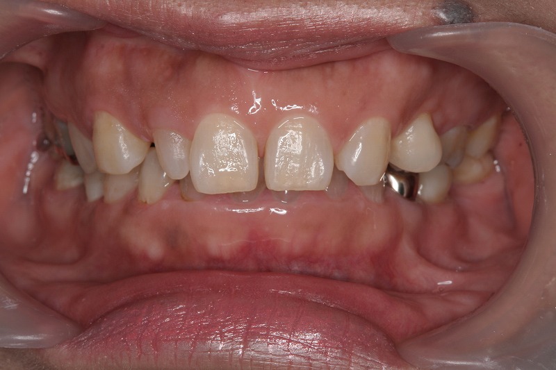
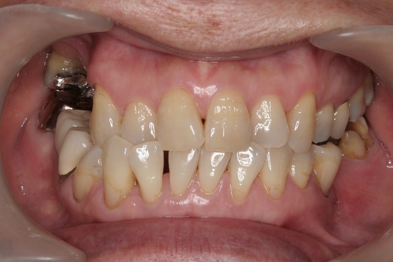
矯正・インプラント補綴症例
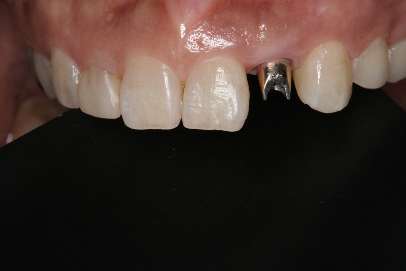
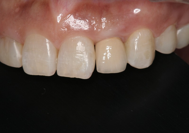
インプラントの治療例
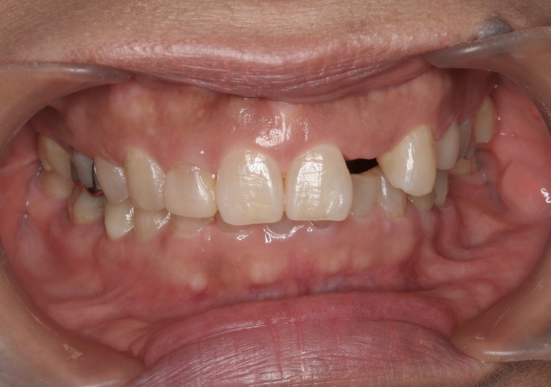
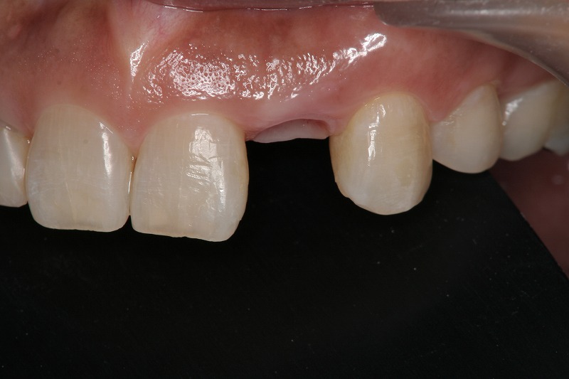
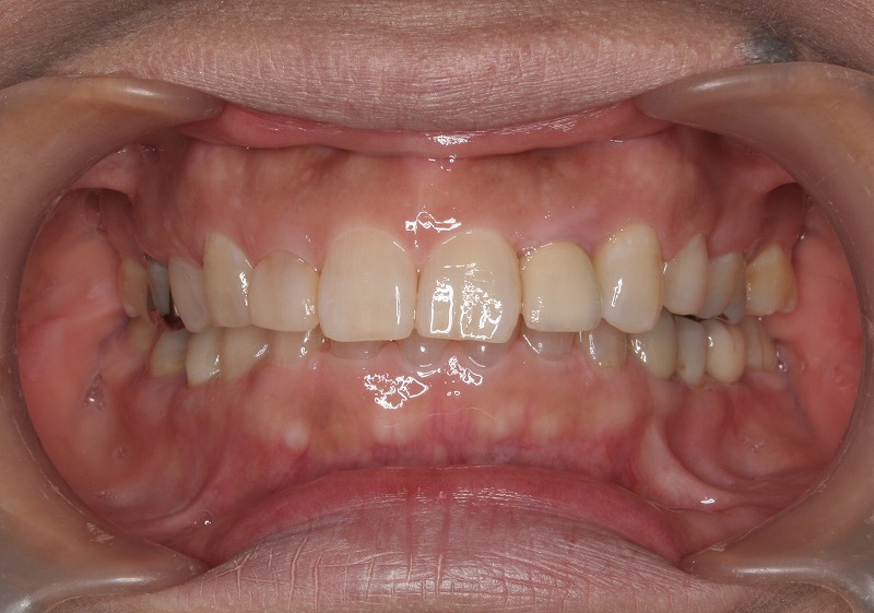
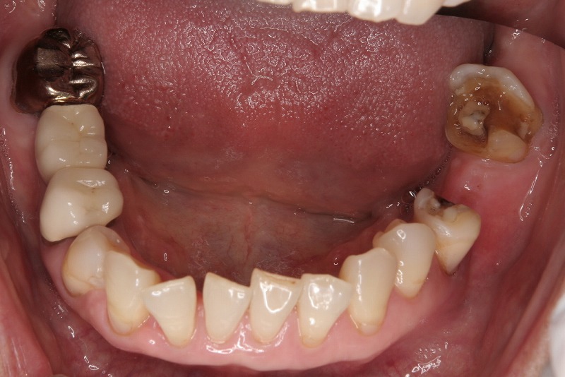
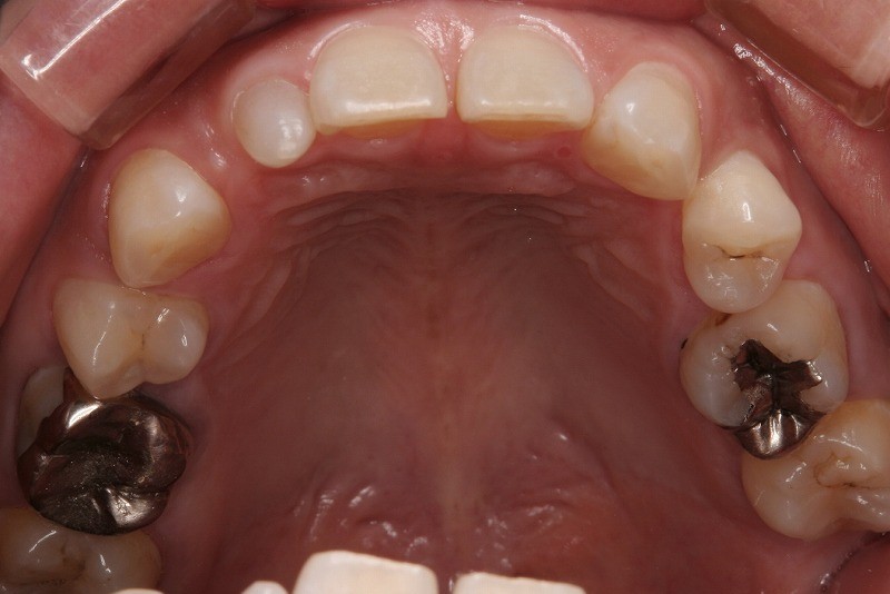
歯を1本失った場合
失った部分にインプラントを1本埋入します。
従来は、健全な両隣の歯を削ってブリッジを用いて治療していましたが、インプラントを用いると健全な歯を傷つけることなく治療を行うことが出来ます。

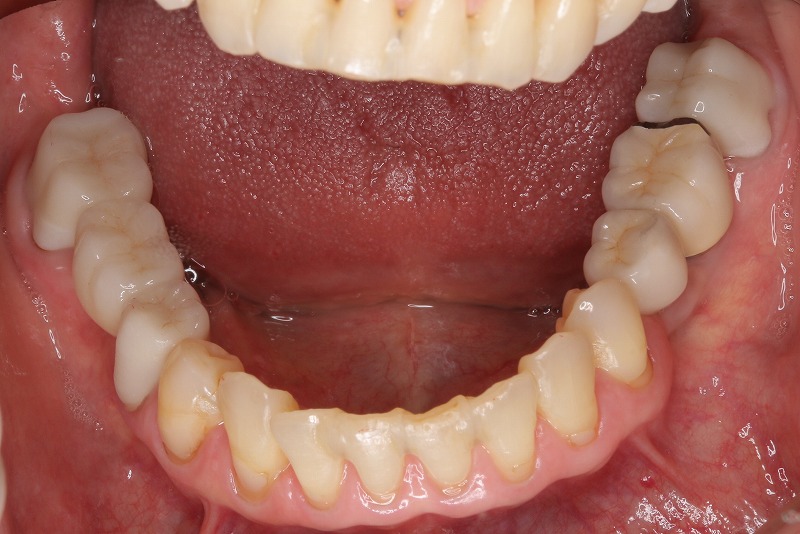
歯を何本か失った場合
従来は局部的な入れ歯を用いて治療を行っていましたが、インプラントを何本か用いて治療を行います。
入れ歯を固定するための金属のバネによる違和感はもちろんありません。

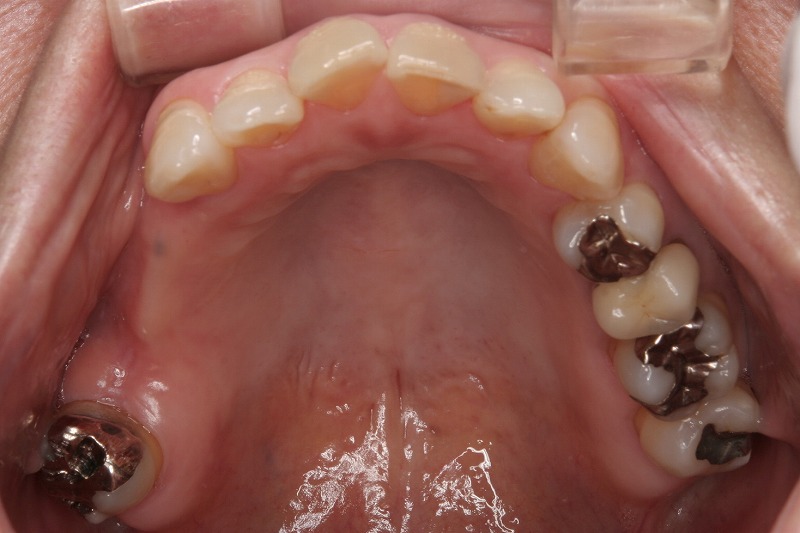
歯を全て失った場合
従来の総入れ歯ではなくインプラントを用いて治療します。
この方法なら食物が入れ歯と口腔粘膜の間に挟まったり、入れ歯が合わなくなるようなことはありません。
